单核吞噬细胞
概况[编辑 | 编辑源代码]
分类[编辑 | 编辑源代码]
单核巨噬细胞包括分散在全身各器官组织中的巨噬细胞、单核细胞及幼稚单核细胞。
①单核细胞[编辑 | 编辑源代码]
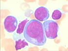
体积大,胞质丰富,染成灰蓝色,胞核常呈肾形或马蹄形,细胞形状不一,有圆形,多角形等 。
单核细胞是体积最大的白细胞。其细胞核常偏位,呈多形性,如卵圆形、肾形 、马蹄形 、不规则形 等,常有折叠感 ,染色质呈疏松网状,着色较浅。胞质较多,嗜碱性,但因含大量细小的嗜天青颗粒而染成灰蓝色,颗粒含过氧化物酶。血涂片,Giemsa染色
无颗粒白细胞的一种。 单核细胞是血液中最大的血细胞。目前认为它是巨噬细胞的前身,具有明显的变形运动,能吞噬、清除受伤、衰老的细胞及其碎片。单核细胞还参与免疫反应,在吞噬抗原后将所携带的抗原决定簇转交给淋巴细胞,诱导淋巴细胞的特异性免性反应。单核细胞也是对付细胞内致病细菌和寄生虫的主要细胞防卫系统,还具有识别和杀伤肿瘤细胞的能力。
②吞噬细胞[编辑 | 编辑源代码]
人类的吞噬细胞有大、小两种。小吞噬细胞是外周血中的中性粒细胞。大吞噬细胞是血中的单核细胞和多种器官、组织中的巨噬细胞,两者构成单核吞噬细胞系统。
中性粒细胞占血液白细胞总数的60%一70%,是白细胞中数量最多的一种。中性粒细胞来源于骨髓,产生速率高,每分钟约为107个,但存活期短,约为2-3天。
单核细胞由骨髓中的单核细胞前体发育分化而成,约占血液中白细胞总数的3%一8%。其体积较淋巴细胞略大。单核细胞在血液中仅停留12—24小时,然后进入结缔组织成器官,发育成熟为巨噬细胞。定居巨噬细胞有不同的名称。在肝中为枯否细胞、在脑中为小胶质细胞、在骨中为破骨细胞等。游走巨噬细胞大于单核细胞数倍,寿命较长,可在组织中存活几个月。
当病原体穿透皮肤或粘膜到达体内组织后,吞噬细胞首先从毛细血管中逸出,聚集到病原体所在部位。多数情况下,病原体被吞噬杀灭。若未被杀死,则经淋巴管到附近淋巴结,在淋巴结内的吞噬细胞进一步把它们消灭。淋巴结的这种过滤作用在人体免疫防御能力上占有重要地位,一般只有毒力强、数量多的病原体才有可能不被完全阻挡而侵入血流及其它脏器。但是在血液、肝、脾或骨髓等处的吞噬细胞会对病原体继续进行吞噬杀灭。
以病原菌为例,吞噬、杀菌过程分为三个阶段,即吞噬细胞和病菌接触、吞入病菌、杀死和破坏病原菌。吞噬细胞内含有溶酶体,其中的溶菌酶、髓过氧化物酶、乳铁蛋白、防御素、活性氧物质、活性氮物质等能杀死病菌,而蛋白酶、多糖酶、核酸酶、脂肪酶等则可将菌体降解。最后不能消化的菌体残渣,将被排到吞噬细胞外。
细菌被吞噬在吞噬细胞内形成吞噬体;溶酶体与吞噬体融合成吞噬溶酶体;溶酶体中多种杀菌物质和水解酶将细菌杀死并消化;菌体残渣被排出细胞外。
病菌被吞噬细胞吞噬后,其结果根据病菌类型、毒力和人体免疫力不同而不同。化脓性球菌(化脓性细菌一种)被吞噬后,一般经5-10分钟死亡,30—60分钟被破坏,这是完全吞噬。而结核分枝杆菌、布鲁氏菌、伤寒沙门氏菌、军团菌等,则是已经适应在宿主细胞内寄居的胞内菌。在无特异性免疫力的人体中,它们虽然也可以被吞噬细胞吞入,但不被杀死,这是不完全吞噬。不完全吞噬可使这些病菌在吞噬细胞内得到保护,免受机体体液中特异性抗体、非特异性抗菌物质或抗菌药物的有害作用;有的病菌尚能在吞噬细胞内生长繁殖,反使吞噬细胞死亡;有的可随游走的吞噬细胞经淋巴液或血流扩散到人体其它部位,造成广泛病变。此外,吞噬细胞在吞噬过程中,溶酶体释放出的多种水解酶也能破坏邻近的正常组织细胞,造成对人体不利的免疫病理性损伤。
③幼稚单核细胞[编辑 | 编辑源代码]
单核细胞未成熟的物体,同单核细胞。起源于造血干细胞。会发育成单核细胞。
附:单核吞噬细胞系统[编辑 | 编辑源代码]
单核吞噬细胞系统,亦称巨噬细胞系统(macrophage system)体内具有强烈吞噬及防御机能的细胞系统。 共同起源于造血干细胞,在骨髓中分化发育,经幼稚单核细胞发育成为单核细胞,在血液内停留12~102小时后,循血流进入结缔组织和其他器官,转变成巨噬细胞.

