鸡胸
鸡胸,病证名。出《幼科金针》。又名龟胸。即胸廓畸形突出,状如鸡胸或胸如龟背。伴见体瘦神疲,息短无力。是由佝偻病形成的。治宜培补脾胃,用补天大造丸。又小儿久病喘咳,肺胀痰壅,可见胸高气促,与佝偻病的鸡胸有别。
胸骨向前隆起称之为鸡胸(pectuscarinatum,chickenbreast),鸡胸是一种常见的胸廓畸形,一般认为与漏斗胸畸形一样与遗传有关,多数人认为是肋骨和肋软骨过度生长造成的,胸骨的畸形是继发于肋骨畸形的。影响呼吸循环的胸壁畸形,如漏斗胸、鸡胸、胸肌裂等,除了畸形造成的精神负担和性格影响以外,畸形本身对呼吸和循环功能的损害也需要手术纠正。
症状[编辑 | 编辑源代码]
多数鸡胸不像漏斗胸那样在出生后即能发现,往往在五、六岁以后才逐渐被注意到。
一般鸡胸很少发生压迫心肺的症状,重症鸡胸常出现反复上呼吸道感染及支气管喘息,活动耐力较差,易疲劳。更主要的是患者因畸形而在精神上有极大的负担。鸡胸与漏斗胸相反,胸骨向前方突起,一般有两种类型,第一种是普通的、具有龙骨状突起的胸廓,即胸骨下部向前移奉送较上部明显。常是剑突附着部突出最明显,胸肌的纵部面呈弓形,两侧的4至8肋软骨呈与胸骨平行的深凹陷沟状,使突出的部分更加明显,就像是一只巨手将胸骨抓起而将两侧肋软骨压瘪了一样。另一种鸡胸比较少见,胸骨柄、胸骨体上部及上胸部的肋软骨向前上方突出,而胸骨体中部向后弯曲,胸肌下部又突向向前方,胸骨的矢状面呈“Z”字形,两侧肋软骨也向内凹陷,因此有人将此类畸形也称为漏斗胸。
类型[编辑 | 编辑源代码]
临床上根据胸骨不同的形态,可将鸡胸分为三种类型:
1、船形胸
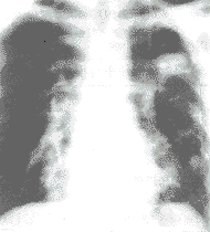
主要为胸骨伸长、向前凸起、双侧下份肋软骨下陷,状若船的龙骨,严重者使胸腔容量减小。侧位X线片上见肋骨与胸骨分离,胸骨后间隙延长。
2、球形鸽胸
球形鸽胸的特征为胸骨柄、胸骨体连接处与相邻肋软骨的隆起,若有胸骨角(louisangle)的减小,则会造成胸骨体下陷,使第2至第5肋软骨在胸骨旁隆起。球形鸽胸常伴有胸骨骨化线,特别是胸骨柄、胸骨体连接处的早期骨化,在患儿3岁、甚至3岁以前即可看到。而在一般情况下,99%的人不管年龄如何,其胸骨柄、胸骨体连接处是开放的。胸骨柄与体连接处的骨化和胸骨角的隆起,称为“胸骨成角性骨连接”(angulatedsynostosisofthesternum)。
3、单侧鸡胸
单侧鸡胸也称非对称性鸡胸,以胸壁的一侧突出为特点,有时可伴有对侧的下陷。肋软骨畸形在此型中起重要作用,胸骨位置异常不明显。
病因[编辑 | 编辑源代码]
鸡胸是胸前壁呈楔状凸起,状如禽类的胸骨故而得名。造成这种畸形的原因有:
1、先天发育异常在胎儿或婴幼儿时期,胸骨和脊椎骨、肋骨的发育不平衡, 造成了胸廓的畸形。
2、营养不良 出生后婴幼儿得不到足够的营养,患有某些营养不良性疾病, 例如小儿佝偻病,久之可影响胸骨等的发育,以致胸廓畸形。
3、继发于胸腔内的疾病。如某些先天性心脏病,扩大的心脏压迫胸壁,形成鸡胸畸形。慢性脓胸所致的扁平胸畸形等。
一般轻度的胸廓畸形对人体的生理功能影响不大,主要应采取预防措施,以防止其继续发展。如胸廓畸形较严重,尤其是漏斗胸,胸腔内的脏器心、肺受到不同程度的压迫,甚至引起心脏移位,肺通气功能也受到影响,如进一步发展,还容易发生呼吸道感染等严重病症。
通过胸廓望诊对漏斗胸和鸡胸即对作出诊断,为了确定有无手术治疗的指征,还应进行必要的胸部X线检查和心脑功能测定。漏斗胸和鸡胸合并严重心肺功能障碍的病例并不多见,畸形不严重的幼儿,随年龄增长、身体的发育还可有所矫正。这种情况则不需特殊治疗,可观察到3-5岁以后,并注意对原发病佝偻病的防治。
对严重的畸形,特别是漏斗胸又合并严重心肺功能障碍的病儿,则应给予外科手术治疗。这类手术应在专科医院由有经验的医生给予诊治为好。
病理[编辑 | 编辑源代码]
鸡胸畸形一般认为与漏斗胸畸形一样与遗传有关,多数人认为是肋骨和肋软骨过度生长造成的,胸骨的畸形是继发于肋骨畸形的。一部分人认为与膈肌附着部发育异常有关,膈肌的前部发育不全,不是附着在剑突及肋弓上,而是附着在腹直肌鞘的后而深呼气肋弓上,而是附着在腹直肌鞘的后面,深吸气时,腹直肌上部向内牵拉,过度生长的膈肌外侧部的肌肉收缩,使郝氏沟加深,而胸骨下部因无膈肌支持而前移,致形成鸡胸畸形。另一部分人认为鸡胸畸形与反复慢性呼吸道感染有关,长期慢性呼吸道感染使肺组织顺应性减低,呼吸功能减弱,为满足呼吸需要,膈肌运动加强,牵拉郝氏沟内陷,逐渐形成鸡胸畸形。
临床诊断[编辑 | 编辑源代码]
鸡胸较漏斗胸发生率低,临床症状也较轻,因此不太受患者及家属的重视。
轻微的鸡胸往往不就诊,较重的鸡胸畸形明显,临床上很容易确诊,侧位X线胸片能清楚显示胸骨的畸形状况,其他检查方法常无异常发现。
治疗[编辑 | 编辑源代码]
鸡胸的治疗同样需要采用手术方法。
2、无蒂胸骨翻转术 方法亦基本同漏斗胸手术方法,只是鸡胸的肋骨及肋软骨较长,鸡胸的第3、4肋骨及肋软骨最长,而第5肋比较短,手术中应特别注意。
3、胸肋沉降术 胸前正中或横切口,分离两侧胸大肌,显露畸形的胸肌及两侧肋软骨,在腹直肌附着点切断腹直肌,将其翻向下方,切开肋骨骨膜,将畸形范围内受累的各肋软骨过长的部分切除,并将过长的骨膜纵向缝缩,如果胸肌畸形严重也需作横断楔形截骨,使胸骨变平,然后用钢丝固定,拉拢缝合胸大肌并将腹直肌缝合胸骨前面。手术的效果非常满意。
手术纠正鸡胸畸形时,要注意原来突出的胸骨手术后会不会压迫心脏,因此术前要仔细研究胸片及CT片,如果胸骨与心脏之间没有肺组织,术后就可能发生胸骨压迫心脏,手术时要适当抬高胸骨位置。
4、做保健操矫正鸡胸 (1)呼吸起落操,两脚与肩同宽站立,身体放松,微闭双眼,两臂轻轻向前平举至头顶,同时吸气,停一会儿,两臂自然下落,伴以深呼气,每日数次,每次10分钟。(2)俯卧撑或持哑铃做两臂前平举练习每日至4次,每次10分钟。(3)单双杠上翻筋头,每日清晨空腹进行,但不可过于劳累。(4)慢跑有助于增强内脏活动,扩大呼吸量,改善胸廓发育不良状况。
并发症[编辑 | 编辑源代码]
在该病的患者中若轻型的鸡胸,可无并发症或无临床症状,严重者可因变形的胸骨使胸廓改变,挤压心肺,使心肺功能受到严重影响,从而产生相应的临床症状,且多伴有合并症,如合并Marfan综合征和神经纤维瘤病等,在重症鸡胸患者中还常出现反复上呼吸道感染及支气管喘息等呼吸系统的并发症
预防[编辑 | 编辑源代码]
1、母亲在孕末期要注意营养,多吃蛋类,动物肝脏等含维生素D及蛋白质多的食物,经常晒太阳,并在医生的指导下服用维生素D和钙剂。
2、初生宝宝应尽量采用母乳喂养,因为母乳中维生素D及其他营养易于吸收。4个月的宝宝开始添加辅食时,不要以谷类食品为主,否则会影响膳食中钙盐的吸收。应逐步添加蛋、肝等含维生素D多的食品。
3、晒太阳是预防佝偻病最方便、经济最安全有效的方法。小婴儿过了满月后,可逐步增加日晒时间。在正常天气下,每日晒太阳2小时左右就可以满足维生素D的需要。夏季避免阳光直晒,可在树荫下玩耍。晒太阳时不要隔着玻璃、戴着帽子或口罩,否则达不到抗佝偻病的目的。
4、按时服药也是必不可少的预防措施。宝宝出生半个月应在医生指导下服用维生素D和钙剂,并定期到保健单位进行健康查体。

