非寄生虫性肝囊肿
非寄生虫性肝囊肿绝大多数是肝脏的良性疾病,其中先天性囊肿最常见。本病可为单发性或多发性。多发性肝囊肿常伴有肾、胰腺、卵巢、肺等脏器的多囊性病变。非寄生虫性肝囊肿按病因可分为:先天性囊肿(孤立性或单发性,弥漫性或多发性);创伤性囊肿;炎症性囊肿;潴留性囊肿;肿瘤性囊肿(皮样囊肿、囊腺瘤、恶性肿瘤退行性变形成的囊肿)。
诊断方法[编辑 | 编辑源代码]
1.临床表现
小囊肿多无明显症状,较难作出诊断,常在体检、腹部手术时发现。囊肿较大时,可出现右上腹不适、隐痛、餐后饱胀感等。肝脏肿大和右上腹肿块,触之呈囊性感,无明显压痛。多发性肝囊肿的肝表面可触及散在的囊性结节。如囊内出血,合并感染或带蒂囊肿扭转时,可有急腹症表现。
2.化验检查
肝功多无损害。
3.卡松尼试验阳性。
4.B型超声检查可确定囊肿大小、部位及数目。
5.肝核素扫描肝区可显示占位性病变(囊肿直径>2~3cm者)。
6.X线检查常可显示肝影增大,膈肌升高和胃肠道受压移位等征象。
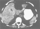
7.CT检查有助于诊断和鉴别诊断。
治疗措施[编辑 | 编辑源代码]
1.囊肿直径<5cm者,一般不行手术治疗,定期行B型超声复查,观察其变化。
2.单发性囊肿直径5~10cm者或多发性肝囊肿,有2个直径>5cm者,可考虑手术治疗。有腹部包块、疼痛或压迫症状明显,或有并发症时,应考虑手术治疗。
3.年迈体差或重要脏器功能明显异常者,决定手术治疗时要慎重。合并多囊肾而肾功能严重损害者,一般不宜手术。
手术方法
1.囊肿穿刺抽液术
在B型超声监控引导下经皮囊肿穿刺,抽尽囊液。此法操作简单,可重复穿刺或穿刺后置管。穿刺前须除外肝包虫囊肿后方可实施。应严格无菌技术,避免囊内出血及脓肿形成。
2.囊肿摘除术
容易剥离的单发性囊肿可采用此种手术,治疗较彻底。
3.囊肿“开窗”术
用于囊肿位于肝的浅层且无感染或胆管与囊肿无交通的情况。切除部分囊肿顶壁(即“开窗”),吸净囊液,使囊腔向腹腔内开放。若囊肿并发感染或囊内有陈旧性出血时,开窗后清理囊腔,并将部分带蒂大网膜填塞囊腔,腹腔内“烟卷”引流。若囊液染有胆汁时,清理囊腔,确定无继续漏胆后,按上述方法行大网膜堵塞囊腔。
4.囊肿内引流术
用于囊腔内有溢漏胆汁又不易找出胆管开口或囊壁较坚厚及感染严重的囊肿。
5.非典型肝部分切除并用囊肿“开窗”术
弥漫性肝囊肿某一叶囊肿密集、压迫致使该叶肝实质明显萎缩,可行非典型部分切除术,而其余肝囊肿并用“开窗”术。
6.囊肿外引流术
囊肿感染而又不易耐受其它较复杂手术时,可行暂时性外引流术,但易形成长期不愈的外瘘,往往需二期手术。
病因[编辑 | 编辑源代码]
肝囊肿大多为先天性,系肝内胆管或淋巴管发育障碍所致。在胚胎发育时期,多余的胆管自行退化而不与远端胆管连接;若肝内多余胆管未发生退化和吸收,并逐渐呈分节状和囊状扩张而形成囊肿。多囊肝常伴有多囊肾、胰腺囊肿、肺或脾囊肿及其他畸形,亦可作为其先天发育异常的佐证。多囊肝可发生于同一家族的不同成员,因而多囊肝的发生可能与染色体隐性遗传有关,单发性肝囊肿的发生被归因于异位胆管。认为这类囊肿起源于肝内迷走畸变的胆管或先天性肝内胆管性上皮增生闭塞,导致管腔内容物停滞潴留而成。
