传染性非典型肺炎

来自医学百科
(重定向自非典

传染性非典型肺炎是由SARS冠状病毒(SARS-COV)引起的一种具有明显传染性、可累及多个器官系统的特殊肺炎,世界卫生组织(WHO)于2003年3月将其命名为严重急性呼吸综合征(Severe acute respiratory Syndrome, SARS)。其主要临床特征为发生弥漫性肺炎及呼吸衰竭,较过去所知的病毒、衣原体、支原体和肺炎军团病菌引起的非典型肺炎远为严重。主要为急性起病、发热干咳呼吸困难白细胞不高或降低、肺部浸润和抗菌药物治疗无效。人群普遍易感,呈家庭和医院聚集性发病,多见于青壮年,儿童感染率较低。

非典”历史[编辑 | 编辑源代码]

2002年11月开始,中国广东等地区陆续有“传染性非典型肺炎”病例报道,并且逐渐波及中国其他省市,截止到2003年7月10日,中国共有26个省市报告。累及报告SARS病例5327例,死亡349例,平均死亡率为6.5%。全球共有32个国家和地区发现了SARS病例,包括中国香港、东南亚国家及加拿大、美国、澳大利亚等国家和地区,截止到2003年8月7日,全球共报告病例数8422例,死亡916人,平均死亡率10.9%。当时SARS对人类而言是一种全新的传染病,即便是目前,对SARS也尚存在很多未完全清楚的问题。

病原体[编辑 | 编辑源代码]

WHO把从SARS患者分离出来的病原体命名为SARS冠状病毒(SARS-associated coronavirus, SARS-CoV),简称SARS病毒(SARS virus)。SARS病毒和其他人类及动物已知的冠状病毒相比较,基因序列分析数据显示SARS病毒并非为已知的冠状病毒之间新近发生的基因重组所产生,是一种全新的冠状病毒,与目前已知的三群冠状病毒均有区别,可被归为第四群。SARS病毒在环境中较其他已知的人类冠状病毒稳定,室温24OC下病毒在尿液里至少可存活10天,在痰液中和腹泻患者的粪便中能存活5天以上,在血液中可存活15 天。但病毒暴露在常用的消毒剂和固定剂中即可失去感染性,56℃以上9O分钟可以杀死病毒。

SARS-CoV


发病机制和病理[编辑 | 编辑源代码]

SARS病毒通过短距离飞沫、气溶胶或接触污染的物品传播。发病机制未明,推测SARS病毒通过其表面蛋白与肺泡上皮等细胞上的相应受体结合,导致肺炎的发生。病理改变主要显示弥漫性肺泡损伤和炎症细胞浸润,早期的特征是肺水肿纤维素渗出透明膜形成、脱屑性肺炎及灶性肺出血等病变;机化期可见到肺泡内含细胞性的纤维黏液样渗出物及肺泡间隔的成纤维细胞增生,仅部分病例出现明显的纤维增生,导致肺纤维化甚至硬化。

临床表现[编辑 | 编辑源代码]

SARS的临床表现轻重不一,存在很大差别,部分病人在感染后可能无任何症状,儿童临床表现较为轻微,而成人往往较重,这与一般思维惯性刚好相反(成人免疫力较高,按理说症状应该较为轻微,可结果相反,提示本病可能与免疫力正相关),大部分成人患者在感染后短期内即发展为肺炎,甚至出现ARDS和多器官功能衰竭。大部分SARS患者均为成年人,平均年龄38岁,有流行病学史,常常有密切接触史或有明确的传染过程。临床潜伏期为1-12天。前驱症状不很明显,起病急骤,发热寒战、伴全身和呼吸道症状。抗菌药物无明显效果。

发热[编辑 | 编辑源代码]

发热为多数SARS患者的首发而最为常见的症状,少数患者体温正常,多数为持续性高热,体温常在38°C以上,最高可达40°C。病人体质虚弱可不发热,伴白细胞数少

全身症状[编辑 | 编辑源代码]

通常为流感样症状,常见为全身肌肉疼痛关节酸痛疲乏、多汗、头痛眩晕,不常见的有咳痰咽痛鼻炎恶心呕吐腹泻。部分患者病情严重,可出现神志模糊烦躁

呼吸道症状[编辑 | 编辑源代码]

多数患者无上呼吸道卡他症状,可有咳嗽,多为干咳、少痰,偶有血丝痰,可有胸闷胸痛,严重时出现呼吸加速,气促呼吸窘迫,部分患者出现低氧血症,少数患者迅速进展为急性呼吸衰竭

体征[编辑 | 编辑源代码]

主要为肺部体征,常与胸部X线片病变表现不平行。大部分患者体温升高,气促、呼吸音粗,呼吸频率快,双肺底可闻及吸气期湿罗音。肺实变时叩诊浊音,触觉语颤增强。未见皮疹淋巴结肿大紫癜。这一阴性症状很重要,如果发现有皮疹、淋巴结肿大等,可能要重新考虑诊断。

实验室和其他检查[编辑 | 编辑源代码]

(一)外周血象和生化检查

外周血白细胞计数一般不升高,或降低,常有淋巴细胞减少,文献报道,诊断淋巴细胞减低的临界值为1.2x10 9/L,淋巴细胞绝对值<0.9x10 9/L可作为诊断SARS的辅助诊断指标,(0.9-1.2)x10 9/L为可疑,>1.2x10 9/L不支持SARS诊断。可有血小板降低。部分患者血清转氨酶乳酸脱氢酶等升高。少数患者伴凝血功能异常。

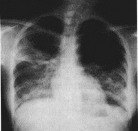
(二)胸部影像学

胸部X线检查早期可无异常,一般1周内逐渐出现肺纹理粗乱的间质性改变、斑片状或片状渗出影,典型的改变为磨玻璃影肺实变影。可在2-3天内波及一侧肺野或两肺,约半数波及双肺。病灶多在中下叶并呈外周分布。少数出现气胸纵隔气肿。CT还可见小叶内间隔和小叶间隔增厚(碎石路样改变)、细支气管扩张和少量胸腔积液。病变后期部分患者肺部有纤维化改变。

SARS
SARS2


(三)病原学检查

病原诊断早期可用鼻咽部冲洗/吸引物、血、尿、便等标本行病毒分离和聚合酶链反应(PCR)。平行检测进展期和恢复期双份血清SARS病毒特异性IgMIgG抗体,抗体阳转或出现4倍或以上升高,有助于诊断和鉴别诊断。常用免疫荧光抗体法(IFA)和酶联免疫吸附法(ELISA)检测。

诊断与鉴别诊断[编辑 | 编辑源代码]

产有与SARS患者接触或传染给他人的病史,起病急、高热、有呼吸道和全身症状,血白细胞正常或降低,有胸部影像学变化,配合SARS病原学检测阳性,排除其他表现类似的疾病,可以作出SARS的诊断。但需和其他感染性和非感染性肺部病变鉴别,如下列所示:

  1. 人感染高致病性禽流感:确诊同SARS一样,主要靠病原学检查或抗体微量中和试验证实感染病原为H5N1亚型流感病毒。与SARS相比,人其流感儿童患者的预后较差,死亡率较高。
  2. 巨细胞病毒性肺炎CMV肺炎):此病在机体免疫功能正常时发生较少,而器官移植后的患者由于长期使用免疫抑制剂,常发生CMV肺炎。其进程凶险,85%患者在2-4周内死亡。确诊主要靠检测CMV抗原、CMV IgM抗体增高或IgG 4倍增高等。目前无人群机体发病的报道,综合临床资料,不难与SARS鉴别。

此外,尚需与普通典型肺炎普通非典型肺炎流感嗜肺军团杆菌肺炎肺孢子菌肺炎等鉴别。

治疗[编辑 | 编辑源代码]

目前对于SARS的治疗仍以对症支持和针对并发症的治疗为主,尚缺乏针对病因SARS-CoV的特异性治疗。

一般治疗[编辑 | 编辑源代码]

卧床休息、早期给予鼻导管吸氧,维持稳定的动脉血氧饱和度>93%。对发热咳嗽等症状予对症治疗。维持水电解质平衡,加强营养支持。

糖皮质激素的应用[编辑 | 编辑源代码]

目的在于抑制异常的免疫病理反应,减轻全身炎症反应状态,从而改善机体的一般状况,减轻肺的渗出、损伤,防止或减轻后期的肺纤维化。主要用于有严重中毒症状、明显呼吸困难休克ARDS等患者。可使用40-240mg/d甲基泼尼松龙,具体剂量根据病情调整。长期大剂量激素的副作用也很明显,很多SARS病人因为大量用激素,命保住了,却在数年后出现了股骨头坏死的副作用。

呼吸支持治疗[编辑 | 编辑源代码]

对重症SARS患者出现呼吸衰竭时应及时给予呼吸支持治疗,包括经鼻管或面罩吸氧、无创或有创正压通气治疗。

抗感染治疗[编辑 | 编辑源代码]

  1. 抗病毒治疗:目前尚未发现有效的抗病毒药物,利巴韦林等对SARS无明显治疗效果。
  2. 抗细菌治疗:早期可做经验性用药。明确诊断后,若无细菌感染则不用,若继发了细菌感染,则应根据病原选择有效抗生素

预后[编辑 | 编辑源代码]

SARS属于自限性疾病,需要机械通气的患者约占7%,故大多数预后良好。部分患者出院后肺部仍有条索状斑片影或间质纤维化,但随着时间推移肺部病变可逐步吸收消失。死亡病例中多为有基础疾病或年龄大于55岁的患者。

诊断学、内科学-SARS前线培训教程

参看[编辑 | 编辑源代码]

站外链接[编辑 | 编辑源代码]

参考文献[编辑 | 编辑源代码]

  • 《呼吸内科学》钟南山主编
  • 《内科学》人民卫生出版社第七版医学教材.陆再英、钟南山主编
  • 《协和呼吸病学》蔡柏蔷主编