锁合

来自医学百科

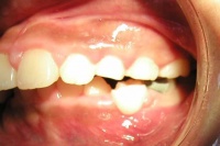
锁合后牙的一种错合畸形,上颌个别后牙或多数后牙被锁结在下后牙的颊侧,或是下颌个别后牙或多数后牙被锁在结在上后牙的颊侧,为锁合畸形。

Bkm9t.jpg

  

病因学[编辑 | 编辑源代码]

1.个别牙锁[编辑 | 编辑源代码]

可因个别乳磨牙早失、滞留或恒牙胚位置异常,错位萌出而造成锁。上下第二恒磨牙的个别牙的正锁较为常见,大多由于颌弓长度发育不够,间隙不足所致。  

2.单侧多数后牙正锁[编辑 | 编辑源代码]

常因这一侧多数乳磨牙重度坏或早失,不得不用对侧后牙咀嚼,日久废用侧易形成深覆盖,由深覆盖再发展而成为多数后牙正锁。  

临床表现[编辑 | 编辑源代码]

锁畸形多见于恒牙,少见于乳牙

1.由于正锁的锁结关系,影响下颌的侧向运动,只能用非锁侧的后牙进行偏侧咀嚼,因此咀嚼功能降低。

2.由于锁,可导致下颌有关肌肉的异常动力平衡,形成下颌骨左右发育不对称和颜面不对称畸形。

3.由于锁,易诱发颞下颌关节疾患。  

诊断[编辑 | 编辑源代码]

分为正锁及反锁  

1.正锁[编辑 | 编辑源代码]

是上后牙舌尖的舌斜面与下后牙颊尖的颊斜面相咬合,面无咬合接触。个别后牙正锁及单侧多数后牙的正锁在临床较为多见。  

2.反锁[编辑 | 编辑源代码]

是上后牙颊尖的颊斜面与下后牙舌斜面相咬合,面无咬合接触。该错在临床上较少见。  

治疗措施[编辑 | 编辑源代码]

锁对咀嚼功能、颌面发育及咀嚼器官的健康影响大,应尽早矫治。矫治原则是升高咬合、解除锁关系,以便矫正:  

1.个别牙正锁[编辑 | 编辑源代码]

多见上后牙颊向错位。矫治可采用单侧垫活动矫治器,即在健侧的上牙弓下牙弓装置单侧垫,使锁牙脱离牙尖锁结,在上下锁牙上各做一带环,在上颌牙带环颊面下颌牙带环的舌面上各焊牵引钩一具,挂橡皮圈于上下颌牵引钩之间,上下牙交互支抗进行矫治。

锁关系解除后,分次磨减或磨除垫,并且同时调磨未曾有过生理磨耗的锁牙的牙尖,使全口牙重新建。在调磨牙尖时可配合脱敏处理。  

2.一侧的上下第二磨牙正锁[编辑 | 编辑源代码]

临床上较多见,而且上磨牙颊向错位的程度,常比下磨牙舌向错位的程度为重。如果同侧的第三磨牙尚未萌出,而又即将萌出,可将该侧上第二磨牙拔除,以便第三磨牙自行调位于已拔除的第二磨牙位置萌出,与下第二磨牙建立正常关系。  

3.一侧多数后牙正锁[编辑 | 编辑源代码]

常见于下牙弓狭窄,锁侧下后牙向舌侧错位严重,但上后牙向颊侧错位不明显。这种患者可戴用下颌单侧垫矫治器,即在健侧下颌后牙上做垫,使锁牙脱离牙尖锁结,矫治器在锁侧下后牙舌侧放置双曲舌簧,矫治锁侧下后牙向颊向移动,以矫治正锁。

由于健侧使用了垫,加大了颊肌的张力,有助于锁侧的上后牙向舌侧移动,而有利于锁的矫正。

锁关系解除后,对垫进行分次调磨,同时调磨锁牙的过高牙尖,必要时配合脱敏措施。

矫正个别后牙锁或多数后牙锁,都注意间隙问题。如间隙不足,需先开拓间隙;如严重拥挤则需要配合减数