跟骨骨折

来自医学百科
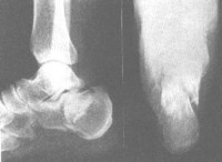
Bk87q.jpg

成年人较多,常由高处坠下或挤压致伤。经常伴有脊椎骨折,骨盆骨折,头、胸、腹伤,初诊时切勿遗误。跟骨松质骨,血循供应比较丰富,骨不连者甚少见。但如骨折线进入关节面或复位不良,后遗创伤关节炎及跟骨负重时疼痛者很常见。  

诊断[编辑 | 编辑源代码]

足跟可极度肿胀,踝后沟变浅,整个后足部肿胀压痛,易被误诊为扭伤。 X 线检查,除摄侧位片外,应拍跟骨轴位像,以确定骨折类型及严重程度。此外,跟骨属海绵质骨,压缩后常无清晰的骨折线,有时不易分辨,常须依据骨的外形改变,结节 - 关节角的测量,来分析骨折的严重程度。  

病因学[编辑 | 编辑源代码]

跟骨骨折跗骨骨折中最常见者,约占全部跗骨骨折的 60% 。多由高处跌下,足部着地,足跟遭受垂直撞击所致。

(1)跟骨结节纵行骨折 多为高处跌下时,足跟外翻位结节底部着地,结节的内侧隆起部受剪切外力所致。很少移位,一般不需处理。

(2)跟骨结节水平(鸟嘴形)骨折 为跟腱撕脱骨折的一种。如撕脱骨块小,不致影响跟腱功能。如骨折片超过结节的 1/3 ,且有旋转及严重倾斜,或向上牵拉严重者,可手术复位,螺丝钉固定。

(3)跟骨载距突骨折 为足内翻位时,载距突受到距骨内下方冲击而引起,极少见。一般移位不多,如有移位可用拇指将其推归原位,用短腿石膏固定 4~6 周。

(4)跟骨前端骨折 较少见。损伤机制为前足强烈内收加上跖屈。应拍 X 线斜位片,以排除跟骨前上突撕裂骨折,短腿石膏固定 4~6 周即可。

(5)接近跟距关节的骨折 为跟骨体的骨折,损伤机制亦为高处跌下跟骨着地,或足跟受到从下面向上的反冲击力量而引起。骨折线为斜行。 X 线片正面看,骨折线由内后斜向前外,但不通过跟距关节面。因跟骨为骨松质,因此轴线位观,跟骨体两侧增宽;侧位像,跟骨体后一半连同跟骨结节向后上移位,使跟骨腹部向足心凸出成摇椅状。  

并发症[编辑 | 编辑源代码]

创伤性关节炎  

影像学表现[编辑 | 编辑源代码]

(1)跟骨前突骨折。

(2)跟骨结节的垂直骨折。

(3)载距突骨折。

(4)跟骨压缩性骨折。

(5)跟骨粉碎性骨折。  

治疗措施[编辑 | 编辑源代码]

上述骨折可在腰麻下整复,用双手掌鱼际部扣挤跟骨两侧,纠正跟骨体向两侧的增宽,同时在跖屈位,用力向下牵拉跟骨结节,以恢复结节关节角。复位后可用小腿石膏固定 4~6 周。

对波及距下关节的跟骨压缩粉碎性骨折,治疗意见分歧,归纳可有四种方法。

(1)保守疗法 又称不作整复的运动治疗。用弹力绷带包扎伤足,抬高患肢。鼓励早期开始患肢功能运动及架拐负重。不少人认为这种方法较固定疗法功能恢复快,效果好。一般病人在半年内可恢复正常活动,约有 3/4 的病人可恢复正常工作,不波及跟距关节的跟骨压缩骨折,尤为适用。

(2)骨牵引治疗 跟骨结节持续牵引下,按早期活动原则进行治疗,可减少病废。

(3)开放复位 适用于青年人,距骨下面外侧塌陷骨折。可先矫正距骨结节角,及跟骨体的宽度,再手术矫正关节面。做跟骨外侧切口,将塌陷的关节面撬起,至正常位置后,用骨松质充填空腔保持复位。术后用管型石膏固定 8 周。有人认为术时行内固定,不做石膏外固定,疗效更满意。

(4)早期关节固定术 累及关节的粉碎性骨折,必将引起不可恢复的损害,如于伤后 2~3 周内手术,行三关节或跟距关节固定术,疗效较晚期手术好。

上述方法为一般原则,但波及跟距关节的跟骨骨折,极不规则,无法进行正确分类。治疗方法不易统一,康复期长,对晚期效果难以做出正确评价,而且无法对每种类型骨折确定一种特殊有效的治疗方法。

参考[编辑 | 编辑源代码]