舟骨

来自医学百科
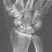
Bki7j.jpg

舟骨腕关节的一块小骨头。舟骨靠近排桡侧,其状如舟,故其名。但不规则,背面狭长,粗糙不平,与桡骨形成关节。跌倒受伤时,掌心着地,舟骨首当其冲,受压于桡骨与头状骨之间,形成骨折。由于舟骨所处位置剪力大,血运不良,故难于愈合。  

舟骨骨折[编辑 | 编辑源代码]

舟骨骨折后应及时到医院外科就诊,限制活动能尽快恢复。一般不留后遗症

腕舟骨骨折图:http://www.mednet2000.com/yingxzd/guanjie/pic/szgz12.jpg (图片地址)腕舟骨骨折。腕舟骨中部可见透亮线。

创伤机制:舟骨骨折为间接暴力致伤。多于摔倒时手掌着地,暴力从地面向上冲击舟骨结节,而身体的重力通过桡骨远端传导致舟骨近端,由此产生的剪式应力造成舟骨骨折。

临床表现患侧腕部桡侧肿胀,腕部“鼻烟窝”变浅或消失,局部压痛明显。腕关节活动时疼痛,尤其是向桡侧偏斜时明显。沿第一、第二掌骨头向腕部叩击时疼痛加剧。

影像学表现:舟骨骨折按骨折发生的部位分为舟骨中段骨折、近段骨折和结节部骨折。舟骨骨折的骨折线如错位不明显时,须留意下列可提示诊断的征象:①舟骨结节的骨皮质断裂;②舟骨结节部%

一、骨折原因及分类

腕舟骨骨折比较常见,多发生青状年,常由间接暴力致伤。跌倒手掌触地,手腕强度背屈,轻微桡偏,桡骨背侧缘切断舟骨。

按骨折位置分型:1.腰部骨折,2.近端骨折,3.结节骨折。

二、部位与血液循环关系及愈合的影响

舟骨营养血管主要从结节部和外侧中部进入。舟骨周围大部为软骨面,无骨膜附着,骨折后靠内生骨痂才能连接,骨折后损伤营养血管,近侧断端由于缺血易发生无菌坏死。临床遇到这种情况缺乏满意处理方法。

三、临床表现及诊断

伤后局部肿胀,疼痛,腕关节活动受限并疼痛加重。鼻咽窝处及舟骨结节处有压痛。第2、3掌骨头纵向叩击痛。有时轻微骨折症状不明显,与腕扭伤症状相似,易误诊忽略,腕关节正侧斜三种方位X片可确诊骨折部位及方向。若骨折不清楚,临床症状怀疑骨折时,应暂按骨折处理,待二周后,复查X片。由于骨折处骨质吸收,骨折线能明显认出。

四、治疗

(一)新鲜骨折 新鲜舟骨骨折,或者超过一个月以上骨折,治疗原则是严格固定。一般采用短臂石膏管型。固定范围从肘下至远侧掌横纹,包括拇指近节指骨。固定中坚持手指功能锻炼,防止关节强直。腰部骨折固定3~4月,有时半年甚至1年,每2~3月定期照片复查。结节部骨折固定3~4月。

(二)陈旧骨折 无症状或轻微疼痛者,暂不治疗,适当减少腕关节活动,随访观察症状明显但无缺血性坏死的,可继续石膏固定,往往需6~12月才能愈合。已发生骨不连接或缺血性坏死者,根据情况采用钻孔植骨术桡骨茎突切除术或近端骨块切除。  

舟骨骨折石膏固定[编辑 | 编辑源代码]

中医正骨 2000年第2期卷 学术探讨 (1999-03-27收稿,1999-05-18修回)

舟骨骨折石膏固定体位探讨

作者:范广峰

单位:江苏省盐城市中医院224002

腕骨诸骨中舟骨骨折最为常见,其中70%发生在舟骨腰部,舟骨结节及近端骨折各占10%~15%〔1〕。腕舟骨骨折很少移位,但由于其血液供应较差,在舟骨腰部尤其是近端的骨折容易发生迟缓愈合、不愈合或缺血性坏死。因此骨折后良好的外固定极为重要。作者在临床中发现关于腕舟骨骨折后石膏外固定的位置各家要求不一。《中医伤科学》五版教材中要求:“用短臂石膏管形固定腕关节于背伸25~30°、尺偏10°、拇指对掌前臂中立位”。《临床骨科手册》〔2〕中要求:“将腕关节置于轻度屈曲及尺偏位包短臂石膏管形,包括第1掌指关节”。《实用骨科学》〔1〕中认为:“保持腕部桡偏及掌屈,可以保持良好对位。无移位时用包括拇指近节的短臂石膏固定,有移位者复位后用包括拇指近节长臂石膏固定”。固定于何种位置更利于骨折的愈合呢?我们不妨从以下几点分析。

(1)腕舟骨局部解剖特点:舟骨属于近排腕骨,细长,长轴斜向前外下方,腰部相当于两排腕骨间平面,血液供应来自附着结节与腰部的韧带动脉,近侧无血管进入。当舟骨腰部骨折后,两排腕骨间关节活动就改为通过骨折线,产生很大剪应力。

(2)腕舟骨骨折受伤机制:舟骨骨折多为跌倒手掌着地,腕关节强力背伸,暴力传达,桡骨关节面背侧缘挤切所致。根据手掌着地的位置不同而出现不同部位骨折,腰部最多见。

(3)骨折分类:根据骨折线部位将腕舟骨骨折分为腰部、近端和结节部骨折。根据骨折线走向分为桡斜型(近桡侧斜向远尺侧)、尺斜型(近尺侧斜向远桡侧)、横向型(骨折线几乎呈横向)。前二种属不稳定性骨折。

(4)固定要求:消除拇短展肌腕横韧带、桡腕侧副韧带的不利作用和尽量减低骨折端的剪切应力。

针对以上几点,作者在临床中对腕舟骨骨折采用石膏分型固定,取得满意疗效。舟骨结节骨折采用腕关节轻度掌屈、桡偏位短臂石膏管形固定包括拇指近节,固定10~12周。根据骨折线走向,将横向型用短臂石膏管形固定腕关节于轻度掌屈中立位包括拇指近节10~12周;对桡斜型、尺斜型分别将腕关节置于轻度掌屈尺偏位、轻度掌屈桡偏位,前臂中立位长臂石膏管形固定包括拇指近节,6周后改为短臂石膏管形继固定4~6周。有学者认为腕舟骨结节骨折传统尺偏固定会使结节骨块受腕横韧带、桡腕侧副韧带牵拉而分离,影响骨折愈合;桡斜型、尺斜型骨折通过尺偏和桡偏可使斜形骨折线接近水平,减少剪应力,有利于骨折端的稳定和加压〔3〕。对超过16周未治疗或保守治疗无效者行手术治疗。作者近3年来采用石膏分型固定治疗新鲜腕舟骨骨折26例,跟踪随访,除1例近端骨折发生延迟愈合外,无1例不愈合。

参考文献

1,陆裕朴,胥少汀,葛宝丰,等。实用骨科学。北京:人民军医出版社,1991:626~627

2,毛宾尧,林圣州。临床骨科手册。北京:人民卫生出版社,1992:236

3,尚天裕。中国接骨学。天津:天津科学技术出版社,1995:191~192  

舟骨骨折临床报道(论文)[编辑 | 编辑源代码]

中医正骨 2000年第5期卷 临床报道

Colle’s骨折伴腕舟骨骨折66例报告

韩鲁宁 王之海 梁顺兴 张申庆 梁冬炜 梁振兴 尹逊菊

韩鲁宁(山东省宁阳县中医院);王之海(河北省万全县医院);梁顺兴 张申庆 梁冬炜 梁振兴 尹逊菊(山东省肥城市中医医院 271600)

关键词:Colle’s骨折;并发症;腕舟骨骨折;诊断与治疗;病例报告

Colle’s骨折同时伴腕舟骨骨折的报道虽然不多,但此种损伤并非少见。自1983~1999年,作者通过对1015例Colle's骨折的严格检查后发现有66例伴不同程度的腕舟骨骨折,现总结报告如下。

1 临床资料

1.1 一般资料 本组66例中男41例,女25例;年龄最小23岁,最大68岁,平均37.5岁;左侧27例,右侧38例,双侧1例。其中腕舟骨结节部骨折3例,腰部骨折60例,近端骨折3例。伴多腕骨骨折脱位者2例,伴尺骨茎突桡骨茎突骨折者23例。新鲜骨折57例,其中有移位者18例,无明显移位者39例;陈旧性骨折9例,有移位者3例,无明显移位者6例,骨坏死2例,早期1例,晚期1例。

1.2 诊断依据 所有的病例除具有Colle's骨折的特征外,均有鼻烟窝凹陷消失和压痛,腕舟骨结节压痛,第1、2掌骨纵轴叩击痛及腕关节桡偏背伸活动受限和疼痛。腕关节正侧斜位X线片除见有明显的桡骨远端骨折外,可见腕舟骨有横穿对侧骨皮质的骨折线。

1.3 治疗方法 先整复Colle's骨折,一般腕舟骨骨折能随之复位,但应注意防止无移位骨折发生移位。若复位不佳,可由助手控制已复位的桡骨远端,术者一拇指按住鼻烟窝,另一手虎口卡住手背食指抵住尺骨小头,拇指置舟骨结节处向尺侧挤压并微微活动一下腕关节,舟骨即可紧密吻合复位。敷贴接骨膏后按照Colle's骨折的固定方法掌侧放1块杉皮板,背侧放瓦型纸壳超腕固定于掌屈30°略尺偏位。鼻烟窝不放压垫。4周后更换简易法维持2~3周以利患腕做轻微活动。固定解除后用中药烫洗,进行以握拳活动为主的功能锻炼。数月内仍应注意避免强力背伸和桡偏活动。按三期原则服用伤科药。1个月内的陈旧性骨折可重新整复,1个月以上及骨坏死者仅以药物治疗不做特殊处理。

1.4 治疗结果 57例鲜骨折复位优良者55例,间隙稍大者1例,远端向尺侧倾移者1例;9例陈旧性骨折5例位置较好,4例较差(其中3例未予整复),1例骨坏死中断治疗,1例早期坏死治疗10个月痊愈。随访1~9年,平均2年5个月。随访结果陈旧性骨折4例中1例功能恢复较好,3例较差且遇冷、劳累时有酸痛;新鲜骨折32例功能全部恢复正常,均无畸形,无自觉症状,无1例发生骨坏死。

2 讨论与体会

2.1 诊断问题 Colle's骨者伴腕舟骨骨折临床并不少见,只是腕舟骨骨折常易被忽略〔1〕。作者对1015例Colle's骨折经精心检查后发现有66例并发舟骨骨折,约占6%,应引起注意。提示临床不要见Colle's骨折就急着治疗而漏诊腕舟骨骨折。由于两者愈合速度不同,需要固定的时间长短也不一样,如果舟骨骨折未被发现按Colle's骨折处理,过早解除固定就有可能使无移位的舟骨骨折发生移位,甚至形成不愈合及骨坏死。一旦发生骨坏死中药虽能取效,但疗程太长而使人难以坚持;假体置入目前尚不太过关,不可轻易采取;其它手术方法也很难保证腕关节功能彻底恢复。因此,最好的办法是勿忘检查舟骨,做到及时发现及时治疗。对两者同时骨折的可能性缺乏认识是漏误诊的重要原因。两者具有相同的致伤机制,同时骨折的可能性应该是能够考虑到的,由于教科书和专著多系单独叙述,对同时骨折的记载较少,有关的报导也少见,故而至今未能引起临床上的注意。第一印象的误导也是漏误诊的原因之一。Colle's骨折的临床表现明显大于并掩盖了舟骨骨折的临床表现,给人第一印象的腕部餐叉畸形,最先把人的注意力吸引并局限到Colle's骨折上,从而疏漏了对舟骨的检查。另外X线片清晰度差或位置不标准都会给诊断带来困难,2~3周间是最佳摄片检查时间,其间由于骨折处骨质吸收,骨折线多能明显认出〔2〕,疏忽了此时检查常造成漏诊。作者曾对1例可疑者在3周之内做过5次片,最终明确了诊断。此外,阅片欠认真细致也容易漏诊。有时骨折线很难辨认,需要反复辨认或借助放大镜对比观察,必要时可行CT检查。

2.2 固定体位 对于Colle's骨折的治疗普遍的做法是掌屈尺偏位固定。绝大多数腕舟骨骨折是在与Colle's骨折相同的受伤机制下形成的,所以也应该固定在掌屈尺偏位。两种骨折同时发生,固定在掌屈尺偏位是理所当然的。临床实践证明采取这种体位固定效果良好并无不妥。然而教科书和不少专著却认为舟骨骨折应固定在腕背伸30°位〔3〕,作者认为这不符合一般骨折治疗的机理。倘若如此,那么两者同时骨折时就要一个背伸一个掌屈固定了,诚然这是行不通的。但是掌屈尺偏的度数如果过大时,容易导致成角畸形应予以注意。

2.3 固定时间 对于舟骨骨折的固定时间,教科书也好,专著也好,观点基本上都是一致的,即强调长期固定,少则2个月,多则4个月甚至更长〔4〕。对此作者有不同认识。骨折治疗应以现代医学模式为出发点,不能把有生命的骨头当作木头来治疗。对任何骨折来说无谓的长期固定,尤其是绝对固定都是有害无益的。腕舟骨是关节内骨更不例外。长期固定关节易造成粘连,加重缺血致骨质疏松,影响骨折愈合,甚至形成不愈合及骨坏死。临床中不难见到这样的事实,即一个位置良好的Colle's骨折经超长时间的固定后,其X线片会显示出所有腕关节组成骨的骨质疏松,甚至出现低密度囊状改变,骨间隙也变得模糊不清。如果复位不良,这种情况将会加重。若同时伴有舟骨骨折,舟骨的愈合将可想而知。因此,固定一旦达到目的即应及时减弱或解除,以利关节运动。唯有运动方能使筋血舒活,筋血舒活方能有利于骨的生长和健壮。Colle's骨折4周即有较好的连接,舟骨虽然愈合慢,但此时也已有纤维性连接,在此基础上再进行2~3周的简单固定就足够了。这种简单固定松范围小,有利于做无损伤性的轻微活动,既保证了骨折的相对稳定性,又有利于血液循环。实践证明其总体固定时间以不超过7~8周为宜。只是应提醒患者,在解除固定后的数月内仍不要做有损于舟骨的强力桡偏背伸活动。作者摆脱了旧框框的束缚,从骨的生理需要和临床实践出发,大胆地缩短了固定时间,取得了良好的效果,使功能恢复的时间大大提前,同时避免了腕舟骨坏死的发生。

2.4 压垫的应用 有人主张鼻烟窝处放置小压垫〔5〕,许多人也就自觉不自觉地将其视为一种必然的治法而接受之。对此作者持有不同观点,认为使用小压垫弊大利小不用为好。首先因鼻烟窝处血管神经丰富,又有拇指肌腱通过,如果用手指按一下一个正常人的鼻烟窝时,就会立刻感到酸麻胀痛,此处若长期放置压垫定会影响血液运行而不利于骨折愈合。此外,对小压垫的作用应持怀疑态度。舟骨骨折主要是腕关节处于桡偏背伸位时,桡骨的背侧缘或茎突切于舟骨造成的,掌屈尺偏位致伤因素解除,骨折已经复位,只要患腕不做桡偏背伸活动舟骨就能保持稳定,故无须使用小压垫。

2.5 医嘱问题 术后应当把注意事项详细地告诉患者,如功能锻炼的时间和方式、应当避免和禁止的活动等等。这对于Colle's骨折伴舟骨骨折的预后至关重要。不同患者有着不同的性格和心理因素,无所顾及地莽动和过分娇气地拒动都有违医理,预后难测。只有在完整医嘱指导下尽可能取得患者的合作,才能防患于未然。

参考文献

1,许竞斌。实用骨科学。上海:上海卫生出版社,1958:126

2,天津医院。临床骨科学。北京:人民卫生出版社,1973:235

3,山东中医学院骨科教研组,山东中医学院附属医院骨科。临床正骨学。济南:山东科学技术出版社,1979;114

4,广州中医学院主编。中医伤科学。上海:上海科学技术出版社,1981:104

5,毛宾尧,林圣洲。临床骨科手册。北京:人民卫生出版社,1992:236