脑挫裂伤

来自医学百科

脑挫裂伤脑挫伤脑裂伤的统称,因为从脑损伤的病理看,挫伤裂伤常是同样并存的

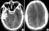
右侧颞叶脑挫裂伤

,区别只在于何者为重或何者为轻的问题。通常脑表面的挫裂伤多在暴力打击的部位和对冲的部位,尤其是后者,总是较为严重并常以额、颞前端和底部为多,这是由于脑组织在颅腔内的滑动及碰撞所引起的。脑实质内的挫裂伤,则常因脑组织的变形和剪性应力引起损伤,往往见于不同介质的结构之间,并以挫伤及点状出血为主。  

诊断[编辑 | 编辑源代码]

脑挫裂伤病人往往有意识障碍,常给神经系统检查带来困难。对有神经系统阳性体征的病人,可根据定位征象和昏迷情况,判断受损部位和程度。凡意识障碍严重,对外界刺激反应差的病人,即使有神经系统缺损存在,也很难确定。尤其是有多处脑挫裂伤或脑深部损伤的病人、定位诊断困难,常需依靠CT扫描及其他必要的辅助检查作出确切的诊断。  

治疗措施[编辑 | 编辑源代码]

脑挫裂伤

挫裂伤的治疗当以非手术治疗为主,应尽量减少脑损伤后的一系列病理生理反应、严密观察颅内有无继发血肿、维持机体内外环境的生理平衡及预防各种合并症的发生。除非颅内有继发性血肿或有难以遏制的颅内高压手术外,一般不需外科处理。  

非手术治疗[编辑 | 编辑源代码]

脑挫裂伤发生之际,也就是继发性脑损害开始之时,两者密切相连、互为因果,所以尽早进行合理的治疗,是减少伤残率、降低死亡率的关键。非手术治疗的目的,首先是防止脑伤后一系列病理生理变化加重脑损害,其次是提供一个良好的内环境,使部分受损脑细胞恢复机能。因此,正确的处理应是既着眼于颅内、又顾及到全身①一般处理:对轻型和部分创伤反应较小的中型脑挫裂伤病人,主要是对症治疗、防治脑水肿,密切观察病情,及时进行颅内压监护及/或复查CT扫描。对处于昏迷状态的中、重型病人,除给予非手术治疗外,应加强护理。有条件时可送入ICU(加强监护病室),采用多道生理监护仪,进行连续监测和专科护理。病人宜采侧卧,保持气道通畅,间断给氧。若预计病人于短期内(3~5天)不能清醒时,宜早行气管切开,以便及时清除分泌物,减少气道阻力及死腔。同时应抬高床头15°~30°;以利于颅内静脉回流、降低颅压。每日出入量应保持平衡,在没有过多失钠的情况下,含盐液体500ml/d生理盐水即已满足需要,过多可促进脑水肿。含糖液体补给时,应防止血糖过高以免加重脑缺血缺氧损害及酸中毒。必要时应适量给胰岛素予以纠正,并按血糖测定值及时调整用药剂量。若病人于3~4天后仍不能进食时,可放置鼻饲管,给予流质饮食,维持每日热能

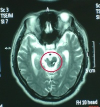
颅内血肿

及营养。此外,对重症病人尚需定期送检血液生化及酸碱标本,以便指导治疗措施,同时,应重视心、肺、肝、肾功能及合并症的防治。②特殊处理:严重脑挫裂伤病人常因挣扎躁动、四肢强直高热抽搐而致病情加重,应查明原因给予及时有效的处理。对伤后早期就出现中枢性高热、频繁去脑强直、间脑发作或癫痫持续发作者,宜行冬眠降温及/或巴比妥治疗。外伤性急性脑肿胀又称散性脑肿胀(DBS),是重型脑损伤早期广泛性脑肿大,可能与脑血管麻痹扩张或缺血后急性水肿有关,好发于青少年。一旦发生应尽早采用过度换气、巴比妥、激素及强力脱水,同时冬眠降温、降压也有减轻血管源性脑水肿的作用。手术无益反而有害。

弥漫性血管内凝血(DIC),为继发于脑损伤后的凝血异常。其原因是脑组织中富含凝血激酶,外伤后释放入血,激活凝血系统。由于血小板的异常聚积,可使脑皮层、基底节、白质内以及脑干等处小血管发生血栓,随后又因纤维蛋白元溶解而引起继发出血。迟发性颅内血肿亦可能与此有关(Touho,1986)。血管内凝血需依靠实验室检查始能诊断,即血小板减少、纤维蛋白元降低及凝血酶元时间延长。一旦发生,应在积极治疗颅脑损伤的同时,输给新鲜血液,补充凝血因子及血小板。亦有作者采用肝素抗凝治疗或用

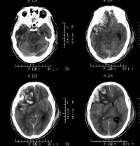
多发脑挫裂伤

抗纤深环酸对抗过量纤溶。③降低颅内高压:几乎所有的脑挫裂伤病人都有不同程度的颅内压增高。轻者可酌情给予卧床、输氧、激素及脱水等常规治疗。重症则应尽早施行过度换气、大剂量激素,并在颅内压监护下进行脱水治疗。伤情严重时尚应考虑冬眠降温及巴比妥疗法此外,严重脑外伤后血液流变学亦有明显变化,表现为全血粘度、血浆粘度、红血球压积、红血球聚集性和纤维蛋白元均增高;并使红血球变形能力下降,其程度与伤情呈正相关。由于红血球聚积性增强、变形力下降故而互相叠连形成三维网状结合体,使血液流动的切应力增大、粘度升高,引起微循环淤滞微血栓形成,然而加重脑的继发性损害。因此,在严重脑挫裂伤的治疗中,应注意血液流变学变化并予纠正。目前,神经外科常用的脱水剂甘露醇对血液流变学就存在着双相影响,即输入早期是增加血容量,血液被稀释;而后期则是血容量下降,血液粘度相对升高。如是,若反复多次使用甘露醇之后,势必引起血液粘度的显著增高产生所谓“反跳现象”,甚至,可以加重血管源性脑水肿。为此,有作者对脑损伤病人行脱水治疗时,以红血球压积作指标,按0.3~0.4为“最适红血球压积”。采用低分子右旋糖酐(Dextranum-40)0.5g/kg/d静脉滴注施行等容量或高容量血液稀释疗法,维持血液的粘度在“最适红血球压积”值水平,以减轻脑水肿及脑继发性损害。④脑机能恢复治疗:目的在于减少伤残率,提高生存质量,使颅脑外伤病人在生活、工作和社交能力上尽可能达到自主、自立。脑机能恢复虽是对颅脑外伤后期的瘫痪失语、癫痫以及精神智力等并发症后遗症的治疗,但必须强调早期预防性治疗的重要性。在颅脑外伤急性期治疗中就应注意保护脑机能,尽量减少废损。当危险期渡过后,病情较为稳定时,即应给予神经机能恢复的药物。同时开始功能锻炼,包括理疗按摩针灸及被动的或主动的运动训练

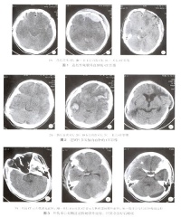
双颞叶脑挫裂伤

  

手术治疗[编辑 | 编辑源代码]

原发性脑挫裂伤一般不需要手术治疗,但当有继发性损害引起颅内高压甚至脑疝形成时,则有手术之必要。对伴有颅内血肿30ml以上、CT示有占位效应、非手术治疗效果欠佳时或颅内压监护压力超过4.0kPa(30mmHg)或顺应性较差时,应及时施行开颅手术清除血肿。对脑挫裂伤严重,因挫碎组织及脑水肿而致进行性颅内压增高,降低颅压处理无效,颅内压达到5.33kPa(40mmHg)时,应开颅清除糜烂组织,行内、外减压术,放置脑基底池或脑室引流;脑挫裂伤后期并发脑积水时,应先行脑室引流待查明水原因后再给予相应处理。  

病理改变[编辑 | 编辑源代码]

脑挫裂伤的病理改变,以对冲性脑挫裂伤为例,轻者可见额颞叶脑表面瘀血水肿软膜下有点片状出血灶,蛛网膜或软膜常有裂口,脑脊液呈血性。严重时脑皮质及其下的白质挫碎、破裂,局部出血、水肿、甚至形成血肿,受损皮质血管栓塞,脑组织糜烂、坏死,挫裂区周围有点片状出血灶及软化灶,呈楔形伸入脑白质。4~5天后坏死的组织开始液化,血液分解,周围组织可见铁锈含铁血黄素染色,糜烂组织中混有黑色凝血碎块。甚至伤后1~3周时,局部坏死、液化的区域逐渐吸收囊变,周围有胶质细胞增生修复,附近脑组织萎缩,蛛网膜增厚并与硬脑膜及脑组织发生粘连,最后形成脑膜疤痕块。

外伤性进展性颅内出血病变

脑挫裂伤早期显微镜下可见神经元胞浆空泡形成、尼氏体消失、核固缩、碎裂、溶解,神经轴突肿大、断裂,脑皮质分层结构消失,灰白质界限不清,胶质细胞肿胀,毛细血管充血,细胞外间隙水肿明显。此后数日至数周,挫裂伤组织渐液化并进入修复阶段,病损区出现格子细胞吞噬解离的屑及髓鞘,并有胶质细胞增生肥大及纤维细胞长入,局部神经细胞消失,终为胶质疤痕所取代。  

临床表现[编辑 | 编辑源代码]

脑挫裂伤的临床表现因致伤因素和损伤部位的不同而各异,悬殊甚大,轻者可没有原发性意识障碍,如单纯的闭合性凹陷性骨折、头颅挤压伤即有可能属此情况。而重者可致深度昏迷,严重废损,甚至死亡。  

意识障碍[编辑 | 编辑源代码]

是脑挫裂伤最突出的临床表现之一,伤后多立即昏迷,由于伤情不同,昏迷时间由数分钟至数小时、数日、数月乃至迁延性昏迷不等。长期昏迷者多有广泛脑皮质损害或脑干损伤存在。一般常以伤后昏迷时间超过30分钟为判定脑挫裂伤的参考时限。  

伤灶症状[编辑 | 编辑源代码]

依损伤的部位和程度而不同,如果仅伤及额、颞叶前端等所谓“哑区”,可无神经系统缺损的表现;若是脑皮质功能区受损时,可出现相应的瘫痪、失语、视野缺损感觉障碍以及局灶性癫痫等征象。脑挫裂伤早期没有神经系统阳性体征者,若在观察过程中出现新的定位征时,即应考虑到颅内发生继发性损害的可能,及时进行检查。  

头痛呕吐[编辑 | 编辑源代码]

头痛症状只有在病人清醒之后才能陈述;如果伤后持续剧烈头痛、频繁呕吐;或一度好转后又复加重,应究其原因,必要时可行辅助检查,以明确颅内有无血肿。对昏迷的病人,应注意呕吐时可能吸入引起窒息的危险。  

生命体征[编辑 | 编辑源代码]

多有明显改变,一般早期都有血压下降、脉搏细弱及呼吸浅快,这是因为头伤后脑机能抑制所致,常于伤后不久逐渐恢复,如果持续低血压,应注意有无复合合损伤。反之,若生命征短期内迅即自行恢复且血压继续升高,脉压差加大、脉搏洪大有力、脉率变缓、呼吸亦加深变慢,则应警惕颅内血肿及/或脑水肿、肿胀。脑挫裂伤病人体温,亦可轻度升高,一般约38℃,若持续高热则多伴有丘脑下部损伤。  

脑膜激惹[编辑 | 编辑源代码]

脑挫裂伤后由于蛛网膜下腔出血,病人常有脑膜激惹征象,表现为闭目畏光,卷屈而卧,早期的低烧和恶心呕吐亦与此有关。颈项抗力约于1周左右逐渐消失,如果持久不见好转,应注意有无颅颈交界处损伤或颅内继发感染。  

鉴别诊断[编辑 | 编辑源代码]

X线平片[编辑 | 编辑源代码]

在伤情允许的情况下,X线颅骨平片检查仍有其重要价值,不仅能了解骨折的具体情况,并对分析致伤机理和判断伤情亦有其特殊意义。  

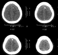
CT扫描[编辑 | 编辑源代码]

对脑挫裂伤与脑震荡可以作出明确的鉴别诊断,并能清楚地显示脑挫裂伤的部位、程度和有无继发损害,如出血和水肿情况。同时,可根据脑室和脑池的大小、形态和移位的情况间接估计颅内压的高低。尤为重要的是,对一些不典型的病例,可以通过定期CT扫描,动态地观察脑水肿的演变或迟发性血肿的发生。近年来,在有此设备的医院CT已作为急性头伤的常规检查,因为单靠伤史和查体难以作出超早期诊断。Stein等(1990)指出在GCS13~15危害较小的轻型头

右额颞叶脑挫裂伤合并蛛网膜出血

伤中,首次CT的阳性发现率竟占18%,并有5%需行手术治疗,强调早期CT检查的必要性。  

MRI(磁共振成像[编辑 | 编辑源代码]

一般少用于急性颅脑损伤的诊断。MRI成像时间较长,某些金属急救设备不能进入机房,躁动病人难以合作,故多以CT为首选检查项目。但在某些特殊情况下,MRI优于CT,如对脑干、胼胝体颅神经的显示;对微小脑挫伤灶、轴索损伤及早期脑梗死的显示;以及对血肿处于CT等密度阶段的显示和鉴别诊断方面,MRI有其独具的优势,是CT所不及的。  

腰椎穿刺[编辑 | 编辑源代码]

有助于了解脑脊液中含血情况,可赖以与脑震荡鉴别,同时,能够测定颅内压及引流血性脑脊液。不过对有明显颅内高压的病人,应禁忌腰穿检查,以免促发脑疝。  

其他辅助检查[编辑 | 编辑源代码]

脑血管造影检查,现在已较少用,但在还没有CT的医院或地区,仍须依靠脑血管造影辅助诊断;脑电图检查,主要用于对预后的判断或对癫痫的监测;脑干听觉诱发电位检查,对于分析脑功能受损程度特别是对脑干损伤平面的判定,有重要参考价值。此外,放射性核素检查对脑挫裂伤后期并发症,如血管栓塞、动静脉瘘脑脊液漏以及脑积水等情况有重要价值。