胰腺脓肿
来自医学百科
pancreatic abscess[编辑 | 编辑源代码]
基本概述[编辑 | 编辑源代码]
由急性胰腺炎的坏死组织或并发假性囊肿继发感染所致,可发生在胰腺任何部位,主要致病菌为肠道杆菌。脓肿溃破腐蚀邻近脏器,可引起肠瘘或出血。
诊断方法[编辑 | 编辑源代码]
1.症状
急性胰腺炎症状好转后又出现塞战高热,腹痛,白细胞增多,血清淀粉酶升高并可持续一周以上。
2.体征
上腹部可扪及压痛性包块,肠鸣音减弱,50%患者合并黄疸,血胆红素升高。
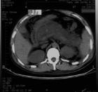
3.辅助检查
①血培养阳性。②X线检查。左侧膈肌升高,左肺不张,胸腔积液。腹部X线片显示胃肠道积气,横结肠麻痹,胃移位。③B型超声检查。局限性圆球形,充满液体及内有坏死组织的光点。④CT检查可确定脓肿部位、体积并与假性囊肿相鉴别。⑤选择性腹腔动脉造影。可见胰血管与小肠血管移位,其程度与脓肿大小有关。
治疗措施[编辑 | 编辑源代码]
1.治疗原则
彻底清除坏死组织,引流排尽脓液。恰当选用抗生素,加强全身支持治疗。
2.治疗方法
①双套管负压吸引引流,亦可同时另置一硅管于脓腔,滴入含抗生素的液体。
