胫腓骨骨折
胫腓骨骨折在长管状骨骨折中最常见。胫腓骨干骨折胫骨浅居皮下,缺乏肌肉附盖,故骨折后极易被骨折断端穿破皮肤。多见儿童和青壮年。多为直接暴力所致。若发生在中下段,易引起延迟愈合或不愈合。重定不好会产生创伤性关节炎。
简介[编辑 | 编辑源代码]
胫腓骨骨干骨折在全身骨折中最为常见。10岁以下儿童尤为多见。其中以胫骨干单骨折最多,胫腓骨干双折次之,腓骨干单骨折最少。胫骨是连接股骨下方的支承体重的主要骨骼,腓骨是附连小腿肌肉的重要骨骼,并承担1/6的承重。胫骨中下1/3处形态转变,易于骨折,胫量上1/3骨折移位,易压迫腘动脉,造成小腿下段严重缺血坏疽。胫骨中1/3骨折瘀血可关闭在小腿的骨筋膜室,增加室内压力造成缺血性肌挛缩成坏疽。胫骨中下1/3骨折使滋养动脉断裂,易引起骨折,延迟愈合。
发病机理[编辑 | 编辑源代码]
骨折的病因分外因和内因两方面[编辑 | 编辑源代码]
外因主要由于外来暴力作用所致。形成有直接和间接暴力等形式。间接暴力:骨折发生在远离暴力接触的部位,即暴力通过传导、杠杆或扭转力量在着力点的远方折断
直接暴力多见为压砸、冲撞、打击致伤,骨折线为横断或粉碎型;有时两小腿在同一平面折断,软组织损伤常较严重,易造成开放性骨折。有时皮肤虽未破,但挫伤严重,血循不良而发生继发性坏死,致骨外露,感染而成骨髓炎。间接暴力多见为高处跌下,跑跳的扭伤或滑倒所致的骨折;骨折线常为斜型或螺旋型,胫骨与腓骨多不在同一平面骨折。
间接或直接暴力,均可造成两骨折断端重迭、成角或旋转畸形,直接暴力造成者多为胫腓双骨折,间接暴力可造成单一胫骨或腓骨骨折。前者多为横骨折、短斜骨折或粉碎性骨折,骨折缘多在同一平面上,且开放性较多。后者则易造成螺旋形、斜形或粉碎性骨折,骨折缘常不在同一水平缘上,多为闭合性,多见于运动伤或跌落伤。
儿童车轮扭转伤致胫腓骨骨折漏诊原因分析[编辑 | 编辑源代码]
(1)儿童患肢伸入车轮扭转伤是通过间接暴力所致造成胫腓骨中下段骨折。因胫腓骨中下1/3是三棱形和四方形骨干移行部,此轴细弱为骨折好发部位。儿童在坐车的过程中,其下肢不慎伸入正在转动的车轮内,导致而身体不能随之移动,胫腓骨受到牵拉和向内弯曲,超过胫骨所能承受的负荷,造成骨折。
(2)造成踝部伸入车轮内随转速传导暴力致胫腓骨中下段骨折也符合其致伤的外力作用点和发生损伤的部位不在一起的间接暴力骨折的理论根据。
(3)对自行车车轮轧伤致胫腓骨中下段骨折漏诊病例的原因进行分析,认为主要是临床忽略了全面检查,往往被局部症状,如外表皮肤碾挫伤、出血、肿胀等所掩盖。特别是检查一个不合作的受伤儿童,没有抓住特点,找到其相应较隐蔽的骨折部位压痛点。患儿又不能得到正确提供敏锐的难以忍受的骨折部位,导致X线检查漏摄,部位错摄、少摄、造成漏诊。应值得提出的是因为胫骨干下1/3外侧穿入有营养血管,如果此处骨折伤及营养血管,漏诊时间长者或病情重者,导致的不良后果将引发不必要的医疗纠纷和医疗赔偿,给医院的信誉和经济带来一定的损失。
临床症状[编辑 | 编辑源代码]
主要症状是疼痛。单纯腓骨骨折有时局部压痛并不重,易被误诊为软组织损伤。而胫骨骨折的局部压痛常常很明显,不易误诊,通过压痛部位能确定骨折部位。在活动小腿时疼痛加重,在非稳定型骨折活动小腿时疼痛更为显著。单纯腓骨骨折时,小腿的持重功能有时仍然存在;而在胫骨骨折,即使是无移位的稳定型骨折,其持重功能也已丧失。体征中最明显的是畸形,常常是成角、侧方移位、短缩和旋转畸形监存。在较轻型的损伤,有时只有外旋和内外成角畸形。因为骨折端的出血和组织反应,局部肿胀非常明显。因直接暴力致伤的开放骨折,皮肤及软组织损伤非常明显,常常伴有组织挫灭和皮肤缺损。而由胫骨骨折端自内而外刺破皮肤造成的开放骨折其伤口常常很小,污染不重,因此它的预后要比一般的开放骨折好,但不能忽视通过小伤口发生继发感染的可能性。活动胫骨能产生剧痛,有助於胫腓骨骨折的诊断,但会增加软组织损伤和畸形。因此有可疑时应摄x线片予以证实或排除。
胫腓骨骨折的直接合并神经损伤很少见,只是腓骨颈骨折容易合并腓总神经损伤。但是,每个胫腓骨骨折的病人必须要记录踝关节背伸跖屈,足趾的背伸和足跖屈以及足的皮肤感觉等神经系统的情况,以备晚期了解是否发生石膏压迫腓总神经的情况,以及有无前筋膜间隔区综合征发生的征兆。
胫腓骨骨干骨折直接合并血管损伤的可能性也很少。但是胫骨上端骨折发生血管损伤可能性较大,胫前动脉在该处穿过骨间膜,骨折时容易拉伤,或被附近的骨折块压迫。另一处容易损伤血管的部位是胫骨下端的骨折,无论什么部位的胫腓骨骨折的病人,必须检查足背动脉和胫后动脉有无搏动,此外还要检查其他有关血运的体征,如毛细血管的充盈、肌肉的收缩力、皮肤感觉及疼痛的类型等,并作详细的记载。
软组织损伤的情况要仔细地估计。有无开放伤口的存在,有无潜在的皮肤坏死区的存在,在预后估计上均有重要的意义。捻挫伤对皮肤及软组织均会造成严重的影响,有时软组织和皮肤损伤的真正范围要经过很多天才能估计出来。对深层的肌肉、肌腱的损伤不常见,只是在胫骨下1/4的开放性骨折时偶有发生。
物理诊断[编辑 | 编辑源代码]
胫骨位置表浅,局部症状明显,加上X线检查,诊断并不困难。但应注意骨折的合并症,仔细检查软组织损伤程度,及时发现症状,及时处理。
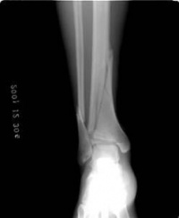
x线检查在胫腓骨骨折中用于诊断、估计骨折愈合的程度、发现骨折的并发症及、做必要的鉴别诊断。
在临床上,一旦怀疑有胫腓骨骨折,就要拍摄小腿正侧位的X线片,照片质量要求较高,除了能发现明显骨折外,对怀疑的线状裂纹也要确定,因为线状骨折也影响愈后和治疗,如行内固定,其稳定性要把线状骨折的因素考虑在内。
在晚期估计其愈合的程度时,有时要拍摄透过骨折端的斜位片。复位后的x线片最好包括膝、踝两个关节,以确定这两个关节轴线在平行的位置,防止晚期因膝、踝关节面的不平行而造成的并发症。原则上拍小腿x线片时要包括胫腓骨的全长。以防止低位胫骨骨折,合并有高位的腓骨骨折发生漏诊。
在骨的x线描述上,首先确定骨折的部位,在上l/3、中l/3或下1/3。再确定骨折类型是横断、斜行或螺旋型骨折,骨折有无粉碎,以及是否多段。侧方移位严重则愈合很难。×线片上不易确定上下骨折段的旋转移位,要从临床上来判断和纠正。
鉴别诊断[编辑 | 编辑源代码]
通常胫腓骨骨折无须多做鉴别诊断。滋养血管的通道不易被误认为骨折。但是,有些应力骨折会造成诊断上的错误。应力骨折有时应有骨膜反应,在骨折处有很细的透亮区。
在青年人这种骨膜反应常常会疑为骨的恶性肿瘤。也有应力骨折被误诊为慢性骨髓炎。通过局部压痛、l临床过程及反复X线摄片的变化,只要考虑到应力骨折,鉴别诊断不应有困难。此外,在有良性或恶性肿瘤等病理的情况下,或有骨萎缩则容易发生病理性骨折,诊断骨折时不可忽略病理状态。
主要为恢复小腿的负重机能,因此对于骨折断端的成角畸形与旋转移位及肢体缩短应予完全纠正,从而避免影响膝踝关节的负重功能。胫腓骨骨折的治疗方法依据骨折的类型而定,如为稳定性骨折,即可采用手法整复后夹板固定;若是不稳定性骨折,则可运用手法整复,小夹板固定+骨牵引;倘若更为严重的骨折可考虑作手术切开复位内固定术。如能应用中医药,按骨折三期分治的原则和规律来治疗胫腓骨骨折,则可提高骨折的愈合率,大大减少骨折延迟愈合或不愈合情况的发生。
辅助检查[编辑 | 编辑源代码]
X线正位片应包括胫腓骨全长,以免漏诊。X线可见骨折线、碎骨片、断端移位等。
病理治疗[编辑 | 编辑源代码]
对稳定无移位的胫骨单骨折或双骨折[编辑 | 编辑源代码]
如横骨折、锯齿状骨折、或有小蝶形骨片而易借手法复位的骨折,常较开放性骨折易愈合,对此种骨折,可不需麻醉,只注意纠正患肢的旋转,使小腿悬垂后,胫骨嵴对好髌骨及拇趾及二趾间,以石膏或长腿石膏固定膝关节予轻屈10-15。即可,固定后数日即可扶拐行走。2-3周即可开始去拐练习持重行走。
对不稳定性骨折[编辑 | 编辑源代码]
或有成角畸形的胫腓骨双骨折,横形或短斜形骨折,应在麻醉下,使骨折复位后,可以小夹板局部外固定,患足置功能位。
螺旋形不稳定性骨折[编辑 | 编辑源代码]
对单独胫骨螺旋形骨折,因有腓骨作支架,移位重叠多不明显,只在麻醉或无麻醉下复位,纠正旋转使对缘良好后局部小夹板外固定,或长腿石膏简固定即可。如胫腓骨双骨折呈螺旋形,重叠移位明显者,则应行跟骨骨牵引纠正重叠、短缩及旋转。
开放性骨折的处理[编辑 | 编辑源代码]
1)只骨折断端刺破皮肤,或外力砸破皮肤,而骨折端无明显移位的横骨折或短斜骨折,经进行充分的清创缝合后,可用石膏固定。
2)骨折端移位明显且为不稳定性的骨折经充分清创复位后,或用螺丝钉做内固定,术后用长腿石膏固定。
3)开放粉碎性骨折,清刨后骨折不易复位者,缝合后可行跟骨骨牵引。
4)开放骨折软织组有缺损者,则应充分清创后可行植皮或皮瓣转移,骨折可用一、二螺丝钉做内固定,亦可进行骨牵引而不做内固定。钢板螺丝钉固定宜慎用或不用。
胫腓骨双骨折合并症的处理[编辑 | 编辑源代码]
(一)合并感染或骨髓炎的治疗:开放性胫腓骨骨折,由于清刨不彻底等原因,可造成感染引起骨髓炎。一般情况下应先控制感染,有死骨者要清除,伤口愈合6-12个月后,再次切开复位植骨内固定。
骨折迟缓愈合或不愈合的治疗:胫骨中下l/3的骨折,迟缓愈合或不愈合者较多。近来因显徽外科的发展,采用复合组织移植或带血管的骨移植等,获得了满意的效果。
单纯腓骨骨折单纯腓骨干骨折
(二)单纯腓骨骨折单纯腓骨干骨折:罕见。多由直接暴力打击小腿外侧所致。骨折发生在外力作用部位,骨折为横形或粉碎。因有完整的胫骨作为支架,骨折很少移位。
治疗一般不需整复,用石膏托或夹板固定4-6周。轻微骨折只用弹力绷带缠紧,扶手杖行走,骨折即可愈合。
(三)腓骨的疲劳骨折腓骨疲劳骨折:多发生于中下1/3,多见于运动员、战士或长途行走者。发病原因多次重复的较小的暴力作用于腓骨,使其骨小梁不断的断裂,局部修复作用的速度赶不上骨小梁的破坏,终于在无较大暴力的情况下产生骨折,亦称慢性骨折。
临床病症与诊断在运动或长途行走后,局部出现酸痛感,休息后好转,运动、长途行走或工作后则加剧。腓骨下段因软组织很薄,可有肿胀、压痛,有时可出现硬性隆起。
X线片上的改变出现较晚,成人在两周之后,可见一不太清晰的骨折线,呈一骨质疏松带或骨质致密带。在以后陆续的X线片上,有骨膜性新骨形成和骨痂生长。
治疗腓骨疲劳骨折多无移位,确诊后应停止运动、长途行走和工作。症状明显的石膏托固定。
(四)固定术
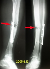
严重的胫骨干开放性骨折伴有广泛的软组织损伤,或需进行植皮或广泛的整形手术。2.同侧肢体多发骨折,伴有股骨干骨折和其他大的创伤者。3.胫骨多段骨折,中间段骨片有移位者。4.胫骨干骨折,骨片失落,造成骨缺损者。5.胫骨干骨折经闭合整复治疗,不能达到满意效果,有旋转或成角移位者。
手术效果[编辑 | 编辑源代码]
胫腓骨骨折的早期治疗有不同观点,大致三种,一、所有骨折均早期作内固定;二、所有骨折均用闭合方法治疗;三、一般用闭合方法,如有特殊指征,也可早期作手术整复和内固定。胫骨下1/3位于皮下,甚至前内侧均处于皮下,且胫骨的血供亦较其他有丰富肌肉包围的骨骼为差,故延迟愈合,不愈合和感染是最常易发生的并发症,切开重定内固定是治疗胫骨干骨折的有效方法之一。
禁忌症[编辑 | 编辑源代码]
1.有严重心、肺、肝、肾病及糖尿病患者,不能承受手术者。2.全身有在潜在感染病源。
麻醉方法
硬膜外麻醉或腰麻,小儿或不配合者可行全麻。
麻醉禁忌
安全有效。
病理预后[编辑 | 编辑源代码]
胫腓骨骨折的预后主要取决于骨折本身以及造成骨折的受伤机制。当然治疗方法无疑也会影响预后,但是治疗方法的选择本身就取决于骨折的类型。影响预后的主要几点是:①骨折原始移位的程度;②软组织损伤的程度,包括开放伤口;③骨折的粉碎情况;④有无感染。
愈合的时间:骨愈合时间确定较难,首先是标准问题。多数人认为:骨小梁穿过骨折端加上病人能完全持重而不需要任何支持,又不伴有疼痛。闭合性无移位骨折的骨愈合需要10-13周;移位的骨折13--16周;而开放性或粉碎性骨折则需16-26周。平均愈合时间,成年人为16周。迟缓愈合和不愈合也很难单纯以时间来划分。但是,要诊断骨折不愈合,临床上骨折端必须有假关节活动,x线检查骨折端必有硬化,骨髓腔封闭,骨端萎缩或肥大。这时再等待已无用,必须采取进一步治疗措施。
骨折线的方向与愈合时间无明显关系,但斜型或螺旋型骨折常常系间接暴力致伤,局部软组织损伤的程度较轻,而直接暴力常造成横断骨折或粉碎骨折,软组织损伤较重可能会影响愈合时间。当然,造成多段骨折的暴力更重,软组织损伤也更严重,骨愈合常常要超过6个月。
关于骨折的部位与愈合时间的关系,多数人认为中下1/3交界处胫骨的血运较差,故愈合时间较长。但是,经过若干作者统计学研究,胫骨中下1/3交界处骨折的愈合时间与其他部位无明显差别。胫骨骨折时腓骨是否骨折对愈后的影响:腓骨完整本身说明致伤的暴力较小。因此,软组织损伤也较轻。又由于腓骨的支撑,胫骨就较稳定,移位相对较轻。但是,腓骨的支撑也使胫骨不易完全复位,特别易造成向外成角。同时骨折端的接触也差,反而延迟胫骨的愈合,当确定有胫骨迟延愈合或不愈合时,打断腓骨以增加胫骨的接触,以促使胫骨愈合,也是一种可行的办法。
受伤时病人的年龄也是影响愈合时间的因素。年龄在16岁以下,骨折愈合较快;年龄越过65岁,骨折愈合时间相对延长。
骨折端的过度牵引明显地会影响愈合时间,多数认为少于1.5毫米的过度牵引是可以接受的。有的作者指出,一个5毫米的距离,需要12个月的骨质充填才能愈合。有些病例牵引治疗的愈合时间较其他治疗明显加大,不能完全认为是过度牵引造成的。因为,选择进行牵引治疗的病例,有些本身损伤严重又不适合其他治疗,愈合时间就长得多。
预防[编辑 | 编辑源代码]
(1)应注意加强临床各科医生的工作责任感,加强业务学习,临床医生和影像科医生都应全面了解病史,要分析其创伤机制,就是要弄清该损伤的形成过程,分析损伤本身的条件及其与周围组织的相互关系。
(2)对自行车轧伤患肢,要分别具有其各自的特点,而应该区别对待,不应根据其一二处显眼的表面皮肤挫伤、出血、肿胀而误认为单纯为软组织捻挫伤,放任X线检查。
(3)对外伤的主诉,要结合检查,做深入的分析,充分运用望、闻、问、切四诊合参,科室之间相互联系协调,对自行车车轮扭转致伤下肢的患儿在摄片部位上应包括胫腓骨及踝关节正侧位,样可减少和避免胫腓骨中下段骨折的漏诊。
(4)预防直接或间接暴力可减少发病率。若发生骨折,应针对不同骨折部位积极预防不同的并发症,防止缺血,坏疽,影响功能。
(5)患者骨折后,为了能尽快恢复小腿的负重功能,必须对骨折断靖的成角畸形与旋转移位及肢体缩短应予完全纠正,从而避免影响膝踝关节的负重功能,固定后,即刻指导其作踝关节的背屈活动及股四头肌收缩锻炼。稳定型骨折固定2星期后,在医生指导下作抬腿及屈曲膝关节活动,3星期后,在夹板继续固定下,可以离床双拐不负重步行。后期可作搓揉舒筋及蹬车活动。


