肾融合
约每1000例个体中发生1例某种形式的肾融合,最多见的是马蹄肾。融合的肾块几乎都包含两个排泄系统及两根输尿管。肾脏组织可在两胁腹间被均匀等分,或完全在一侧。即使在后一种情况下,双输尿管口也开口于膀胱的固有位置。
病因学[编辑 | 编辑源代码]
两个后肾的融合发生在胚胎早期,此时肾脏还在盆腔,位置很低。因此,它们很少升至正常肾脏应该到的高位置上去,甚至可停留在盆腔内。此时,该肾脏可得到此区域多支血管的供应(如主动脉、骼血管等)。在既有异位又有融合肾的患者中,78%有泌尿系统外畸形,并有65%将显示其他的泌尿生殖系统的缺陷。
病理改变[编辑 | 编辑源代码]
由于肾块早期已融合,就不会发生正常的旋转,所以每个肾盂都位于肾脏的前表面。因此,输尿管就必须跨过马蹄肾的峡部或横越融合肾的前表面。此时,一根或数根异位血管就会对输尿管造成某种程度的压迫而引起梗阻,肾积水及因此而引起的感染也就多见。膀胱输尿管返流也常与肾融合有关。
在马蹄肾中,峡部常将每侧肾下极连接,每一肾块都低于正常位置。这些肾块的长轴是垂直的,而正常肾轴因沿腰大肌缘排列,相对脊柱呈倾斜的“八”字。极少数情形下,两肾块融合为一,其内含两个肾盂及两根输尿管。这样的肾块可位于中线,输尿管开口于固定位置(合并融合的交叉异位肾)。
临床表现[编辑 | 编辑源代码]
(1)症状:大多数融合肾患者无症状。但有些可发展为输尿管梗阻。与消化性溃疡、胆石病或阑尾炎酷似的胃肠道症状(肾肠反射)也可出现。若有输尿管梗阻引起肾积水或结石形成时,则易于感染。
(2)体征:体格检查通常为阴性,除非可触及异常位置的肾块。对马蹄肾者,有可能在低位腰椎前触及包块(峡部)。在交叉异位病例中,可于胁腹部或下腹部触及一包块。
(3)实验室检查:尿液分析除了有感染之外,都呈正常。肾功能亦正常,除非每个融合的肾块同时患病。
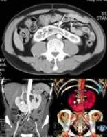
(4)X线检查:马蹄肾者,其肾轴若于平片可见,都与脊柱平行,有时可认出峡部。平片也可显示一例胁腹部有巨大软组织块而另一侧则不见肾影。若肾实质仍有功能,通过排泄性尿路造影可明确诊断。肾组织密度的增高使肾脏的位置及外形更为清楚,尿路造影还可看到肾盂及输尿管。
①马蹄肾者肾盂位于肾块的前表面,而正常肾脏的肾盂则位于肾脏的内侧。对马蹄肾而言,最有诊断价值的线索是肾下极肾盏表现为朝向中线,且比输尿管更靠近中线。
②交叉异位的融合肾显示出2个肾盂及2根输尿管,其中一根必须越过中线才能在膀胱固有位置排尿。
③一饼状或块状的肾脏中位于骨盆(盆腔融合肾),但其输尿管及肾盂可显影,并可压迫膀胱顶部。
CT扫描可清晰地描绘出肾脏的轮廓,但并非必不可少。对于盆腔融合肾或位于胁腹部者,插入输尿管导管的平片将为诊断提供第一条线索。逆行造影将显示肾盂的位置及因有感染或梗阻所致改变。肾闪烁摄影术可显示出肾块及其轮廓,如同超声影象一般。
并发症[编辑 | 编辑源代码]
由于异位肾血管的高发率以及输尿管中一根或二根呈拱形围绕或跨过肾块所致。融合肾易发生输尿管梗阻。因此,肾积水、结石和感染也就多见。占据骶骨凹面的巨大融合肾还可引起难产。
鉴别诊断[编辑 | 编辑源代码]
未能成功进行正常放置的分离的肾可与马蹄肾相混淆,它们是沿腰大肌缘排列,而马蹄肾则与脊柱平行,其下极就在腰大肌前,马蹄肾峡部的肾盏朝向中线并贴近脊柱。若输尿管中有一根明显梗阻使肾脏、肾盂或输尿管的一部分未能显影,就可能在排泄性尿路造影中,对融合肾或块肾产生漏诊。静脉尿路造影或逆行尿路造影也能显示肾块中的排泄通道。
治疗措施[编辑 | 编辑源代码]
一般无需治疗,除非发生感染或梗阻,切开马蹄肾的峡部可改善其引流,当马蹄肾其中一极引流不畅时,可将其切除。
