肩关节脱位

来自医学百科

肩关节脱位(又称脱臼)即组成关节各骨的关节面,失去正常的对合关系。

概述[编辑 | 编辑源代码]

肩关节脱位最常见,约占全身关节脱位的50%,这与肩关节的解剖和生理特点有关,如肱骨头大,关节盂浅而小,关节囊松弛,其前下方组织薄弱,关节活动范围大,遭受外力的机会多等。肩关

Bk928.jpg

脱位多发生在青壮年、男性较多。肩关节是全身大关节中运动范围最广而结构又最不稳定的一个关节,外伤时很容易引起脱位,在全身关节脱位的发身率中,肩关节居第二位,它可分为前脱位于后脱位两种,常见的时前脱位。肩关节脱位最常见,约占全身关节脱位的50%,关节活动范围大,遭受外力的机会多等。肩关节脱位多发生在青壮年、男性较多。  

疾病概述[编辑 | 编辑源代码]

肩关节脱位占全身关节脱位的40%以上,多见于青壮年,男性多于女性。肩关节脱位可分前脱位和后脱位,前者多见。其关节由肩盂和肱骨头构成,肩盂小而浅,肱骨头呈半球形,其面积为盂的4倍。肩关节囊薄弱松弛,活动范围大,易发生脱位。当跌倒时,掌或肘着地,上肢旋后伸,由于传导暴力或杠杆外力的作用,随暴力大小可分别造成盂下、喙突下或锁骨下前脱位。肩关节的关节盂小,肱骨头大并且其活动范围大,故稳定性差,易发生脱位。脱位可由直接暴力和间接暴力引起。根据受伤的时间可分为新鲜脱位和陈旧性脱位;根据肱骨头脱出的位置又分为前脱位和后脱位。而前脱位最多见,并可分为盂下、喙突下、锁骨下和胸腔内脱位。

肩关节脱位

临床表现,肩部肿胀疼痛,功能障碍,呈“方肩”畸形,搭肩试验阳性。X线片可确诊并可除外有无合并骨折。治疗,急取尽早复位。复位手法有拔伸足蹬法、椅背整复法、拔伸托入法、牵引回旋法等。复位后用绷带将上臂固定于胸壁,前臂悬吊于胸前2-3周。固定期间做肘、腕、手指关节的屈伸锻炼。  

疾病病因[编辑 | 编辑源代码]

肩关节脱位按肱骨头的位置分为前脱位和后脱位。肩关节前脱位者很多见,常因间接暴力所致,如跌倒时上肢外展外旋,手掌或肘部着地,外力沿肱骨纵轴向上冲击,肱骨头自肩胛下肌和大园肌之间薄弱部撕脱关节囊,向前下脱出,形成前脱位。肱骨头被推至肩胛骨喙突下,形成喙突下脱位,如暴力较大,肱骨头再向前移致锁骨下,形成锁骨下脱位。后脱位很少见,多由于肩关节受到由前向后的暴力作用或在肩关节内收内旋位跌倒时手部着地引起。后脱位可分为肩胛岗下和肩峰下脱位,肩关节脱位如在初期治

肩关节脱位

疗不当,可发生习惯性脱位

肩关节脱位分前脱位和后脱位两种。以前者多见,多因间接暴力所引起。如当上肢外展、外旋及后伸时,手或肘部着地,暴力即沿肱骨纵轴向近侧端冲击,肱骨头突破关节囊前壁或自下方脱出,移位至喙突下或锁骨下方。肩关节脱位多见于青壮年及男性中学生,有的病人还伴有肩部骨折。

肩关节脱位多由传达暴力或杠杆作用所致,一般来说,侧方跌倒,手掌着地,躯干倾斜,肱骨干高度外展、外旋位,由手掌传达到肱骨间的外力可冲破关节囊的前壁,向前滑出,造成肩关节前脱位;当肩关节前方受到冲击时,可使肱骨头向后冲破关节囊造成肩关节后脱位,此时,肱骨头强力过度内旋亦可造成肩关节后脱位。肩关节后脱位临床较为少见。  

治疗措施[编辑 | 编辑源代码]

手法复位[编辑 | 编辑源代码]

脱位后应尽快复位,选择适当麻醉臂丛麻醉或全麻),使肌肉松弛并使复位在无痛下进行。老年人或肌力弱者也可在止痛剂下(如75~100毫克杜冷丁)进行。习惯性脱位可不用麻醉。复位手法要轻柔,禁用粗暴手法以免发生骨折或损伤神经等附加损伤。常用复位手法有三种。

(1)足蹬法(Hippocrate's法) 患者仰卧,术者位于患侧,双手握住患肢腕部,足跟置于患侧腋窝,两手用稳定持续的力量牵引,牵引中足跟向外推挤肱骨头,同时旋转,内收上臂即可复位。复位时可听到响声。

(2)科氏法(Kocher's法) 此法在肌肉松弛下进行容易成功,切勿用力过猛,防止肱骨颈受到过大的扭转力而发生骨折。手法步骤:一手握腕部,屈肘到90度,使肱二头肌松弛

肩关节脱位

,另一手握肘部,持续牵引,轻度外展,逐渐将上臂外旋,然后内收使肘部沿胸壁近中线,再内旋上臂,此时即可复位。并可听到响声。

(3)牵引推拿法 伤员仰卧,一助手用布单套住胸廓向健侧牵拉,第二助手用布单通过腋下套住患肢向外上方牵拉,第三助手握住患肢手腕向下牵引并外旋内收,三方面同时徐徐持续牵引。术者用手在腋下将肱骨头向外推送还纳复位。二人也可做牵引复位。

复位后肩部即恢复钝园丰满的正常外形、腋窝、喙突下或锁骨下再摸不到脱位的肱骨头,搭肩试验变为阴性,X线检查肱骨头在正常位置上。如合并肱骨大结节撕脱骨折,因骨折片与肱骨干间多有骨膜相连,在多数情况下,肩关节脱位复位后撕脱的大结节骨片也随之复位。

复位后处理:肩关节前脱位复位后应将患肢保持在内收内旋位置,腋部放棉垫,再用三角巾,绷带或石膏固定于胸前,3周后开始逐渐作肩部摆动和旋转活动,但要防止过度外展、外旋,以防再脱位。后脱位复位后则固定于相反的位置(即外展、外旋和后伸拉)。  

手术复位[编辑 | 编辑源代码]

有少数肩关节脱位需要手术复位,其适应症为:肩关节前脱位并发肱二头肌长头肌腱向后滑脱阻碍手法复位者;肱骨大结节撕脱骨折,骨折片卡在肱骨头与关节盂之间影响复位者;合并肱骨外科颈骨折,手法不能整复者;合并喙突、肩峰或肩关节盂骨折,移位明显者;合并腋部大血管损伤者。

3.陈旧性肩关节脱位的治疗 肩关节脱位后超过三周尚未复位者,为陈旧性脱位。关节腔内充满瘢痕组织,有与周围组织粘连,周围的肌肉发生挛缩,合并骨折者形成骨痂畸形愈合,这些病理改变都阻碍肱骨头复位。陈旧性肩关节脱位的处理:脱位在三个月以内,年轻体壮,脱位的关节仍有一定的活动范围,X线片无骨质疏松和关节内、外骨化者可试行手法复位。复位前,可先行患侧尺骨鹰嘴牵引1~2周;如脱位时间短,关节活动障碍轻亦可不作牵引。复位在全麻下进行,先行肩部按摩和作轻轻的摇摆活动,以解除粘连,缓解肌肉痉挛,便于复位。复位操作采用牵引推拿法或足蹬法,复位后处理与新鲜脱位者相同。必须注意,操作切忌粗暴,以免发生骨折和腋部神经血管损伤。若手法复位失败,或脱位已超过三个

肩关节脱位

月者,对青壮年伤员,可考虑手术复位。如发现肱骨头关节面已严重破坏,则应考虑作肩关节融合术人工关节置换术。肩关节复位手术后,活动功能常不满意,对年老患者,不宜手术治疗,鼓励患者加强肩部活动。

4.习惯性肩关节前脱位的治疗 习惯性肩关节前脱位多见于青壮年,究其原因,一般认为首次外伤脱位后造成损伤,虽经复位,但未得到适当有效的固定和休息。由于关节囊撕裂或撕脱和软骨盂唇及盂缘损伤没有得到良好修复,肱骨头后外侧凹陷骨折变平等病理改变,关节变得松弛。以后在轻微外力下或某些动作,如上肢外展外旋和后伸动作时可反复发生脱位。肩关节习惯性脱位诊断比较容易,X线检查时,除摄肩部前后位平片外,应另摄上臂60~70°内旋位的前后X线片,如肱骨头后侧缺损可以明确显示。

对习惯性肩关节脱位,如脱位频繁宜用手术治疗,目的在于增强关节囊前壁,防止过分外旋外展活动,稳定关节,以避免再脱位。手术方法较多,较常用的有肩胛下肌关节囊重叠缝合术(Putti-Platt氏法)和肩胛下肌止点外移术(Magnuson氏法)  

病因学[编辑 | 编辑源代码]

肩关节脱位按肱骨头的位置分为前脱位和后脱位。肩关节前脱位者很多见,常因间接暴力所致,如跌倒时上肢外展外旋,手掌或肘部着地,外力沿肱骨纵轴向上冲击,肱骨头自肩胛下肌和大园肌之间薄弱部撕脱关节囊,向前下脱出,形成前脱位。肱骨头被推至肩胛骨喙突下,形成喙突下脱位,如暴力较大,肱骨头再向前移致锁骨下,形成锁骨下脱位。后脱位很少见,多由于肩关节受到由前向后的暴力作用或在肩关节内收内旋位跌倒时手部着地引起。后脱位可分为肩胛岗下和肩峰下脱位,肩关节脱位如在初期治疗不当,可发生习惯性脱位。  

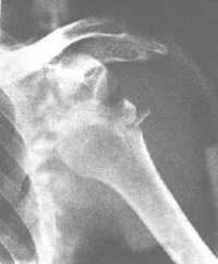
影像学表现[编辑 | 编辑源代码]

X线征象是构成肩关节的肩肿骨、肩盂和肱骨头的两关节面失去正常平行的关系。按肱骨头分离的程度和方向,分为以下几型:

1.肩关节半脱位:关节间隙上宽下窄。肱骨头下移,尚有一半的肱骨头对向肩盂。

2.肩关节前脱位:最多见。其中以喙突下脱位尤为常见。正位片可见肱骨头与

肩关节脱位

肩盂和肩胛颈重叠,位于喙突下0.5cm-1.0cm 处。肱骨头呈外旋位,肱骨干轻度外展。肱骨头锁骨下脱位和盂下脱位较少见。

3.肩关节后脱位:少见。值得注意的是正位片肱骨头与肩盂的对位关系尚好,关节间隙存在,极易漏诊。只有在侧位片或腋位片才能显示肱骨头向后脱出,位于肩盂后方。  

临床表现[编辑 | 编辑源代码]

外伤性肩关节前脱位均有明显的外伤史,肩部疼痛、肿胀和功能障碍,伤肢呈弹性固定于轻度外展内旋位,肘屈曲,用健侧手托住患侧前臂。外观呈“方肩”畸形,肩峰明显突出,肩峰下空虚。在腋下、喙突下或锁骨下可摸到肱骨头。伤肢轻度外展,不能贴紧胸壁,如肘部贴于胸前时,手掌不能同时接触对侧肩部(Dugas征,即搭肩试验阳性)。上臂外侧贴放一直尺可同时接触到肩峰与肱骨外上踝(直尺试验)。X线检查可明确脱位类型和确定有无骨折情况。

应注意检查有无合并症,肩关节有脱位病例约30~40%合并大结节骨折,也可发生肱骨外科颈骨折,或肱骨头压缩骨折,有时合并关节囊或肩胛盂缘自前面附着处撕脱,愈合不佳可引起习惯性脱位。肱二头肌长头肌腱可向后滑脱,造成关节复位障碍。腋神经或臂丛神经内侧束可被肱骨头压迫或牵拉,引起神经功能障碍,也可以损伤腋动脉

后脱位临床症状不如前脱位明显,主要表现为喙突明显突出,肩前部塌陷扁平,在肩胛下部可以摸到突出肱骨头。上臂略呈外展及明显内旋的姿势。肩部头脚位X线片可明确显示肱骨头向后脱位。

搭肩试验(Dugas)阳性,患侧手靠胸时,手掌不能搭在对侧肩部。外伤性肩关节前脱位均有明显的外伤史,肩部疼痛、肿胀和功能障碍,伤肢呈弹性固定于轻度外展内旋位,肘屈曲,用健侧手托住患侧前臂。外观呈“方肩”畸形,肩峰明显突出,肩峰下空虚。在腋下、喙突下或锁骨下可摸到肱骨头。伤肢轻度外展,不能贴紧胸壁,如肘部贴于胸前时,手掌不能同时接触对侧肩部(Dugas征,即搭肩试验阳性)。上臂外侧贴放一直尺可同时接触到肩峰与肱骨外上踝(直尺试验)。

参看[编辑 | 编辑源代码]