肥大性龈炎

来自医学百科
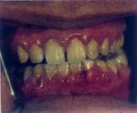
Bk9id.jpg

  

概述[编辑 | 编辑源代码]

肥大性龈炎(Hypertrophic Gingivitis)牙龈组织受到长期的局部刺激所引起的慢性炎症,表现以牙龈明显的炎性肿胀增生为特征。病变可累及附着龈。多见于青春期,以上下颌前牙唇侧牙龈为好发部位。  

病因[编辑 | 编辑源代码]

病因除引起边缘性龈炎的局部因素外,尚可有口呼吸牙齿排列咬合的异常。青春期内分泌的改变,特别是性激素的变化,也易诱发本病。  

临床表现[编辑 | 编辑源代码]

牙龈肿胀肥大,呈深红色或暗红色,组织松软,探诊易出。牙龈乳头球状突起。肿胀的牙龈常可覆盖前牙唇的1/3或更多。由于牙龈肥大,使龈沟加深而形成龈袋,袋内易藏食物,细菌易滋生,自洁作用差,故炎症加重,可有深性分泌物。若身体抵抗力降低时,可出现单发或多发性的龈脓肿,特别以龈乳头区较多见。

自觉症状可有刺激性牙龈出血、发胀、口臭等。病变后期,因纤维增生而使牙龈质地较为坚韧,炎症也有减轻,又称增生性龈炎

妊娠期间发生的肥大性龈炎,称妊娠期龈炎(Pregnancy gingivitis)。有时个别龈乳头肿胀成球状且常带蒂,称妊娠期龈瘤分娩后,肥大的牙龈一般可自行消退。

某些系统性疾病也可出现牙龈的肥大或增生改变。应注意鉴别,如:

白血病由于白细胞增多,在末梢血管内淤积,造成牙龈肿胀和肥大,龈色苍白,如伴有炎症则龈缘充血并有渗血现象。病情严重者,龈乳头或龈缘出现坏死,并有口臭。

维生素C缺乏性龈炎。整个牙龈呈紫红色,易出血。重者,龈缘坏死,口臭明显。

长期服用苯妥英纳的病员,可出现牙龈增生,其特征是颊、舌侧牙龈同是增生,呈结节状,质坚实,色浅淡,不易出血。  

鉴别诊断[编辑 | 编辑源代码]

1.药物性牙龈增生

2.牙龈纤维瘤病

3.白血病引起的牙龈肥大。

4.浆细胞性龈炎(plasma cell gingivitis)又名牙龈浆细胞增多症(gingival plasmacytosis)或浆细胞性肉芽肿(plasma cell granuloma),病因不明。本病主要发生于牙龈,也可发生于口角和和舌,可出现多个牙或全口牙的牙龈鲜红、肿大,松软而脆弱,表面呈结节状或分叶状,上皮菲薄,呈半透明状,极易出血。病理变化主要特点是上皮不全角化,结缔组织内有密集浸润的形态正常的浆细胞呈片状集聚,也可表现为肉芽肿即有大量血管和其他炎症细胞存在。根据典型的牙龈症状以及典型的病理变化,不难鉴别。  

并发症[编辑 | 编辑源代码]

如不治疗,牙龈炎继续发展可侵犯深部牙周组织,发展为牙周炎。  

治疗[编辑 | 编辑源代码]

1.去除局部刺激因素如刮除牙石,消除食物嵌塞,去除不良修复物等,对口呼吸者,应针对原因,加以处理。有咬合异常者,可磨改牙齿或作正畸治疗

2.药物治疗可用1~3%过氧化氢液冲洗龈袋,袋内上碘合剂或灭滴灵螺旋霉素药膜,并有漱口剂含漱等。若有脓肿发生时,可配合抗菌药物的治疗。

3.手术治疗经上述治疗后仍不能使牙龈恢复正常生理外形者,可作牙龈切除术

由系统性疾病引起的牙龈肥大,应先进行系统性疾病的治疗,再配合适当的局部治疗。如白血病引起者,应先到内科诊治,不应轻率地进行牙石刮除或手术。

参看[编辑 | 编辑源代码]