组织学/甲状旁腺

来自医学百科

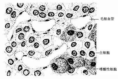
甲状旁腺一般有上下两对,位于甲状腺左右叶的背面。成人甲状旁腺呈棕黄色的扁椭圆形,总重约120mg。腺表面包有薄层结组织被膜,腺细胞排列成索团状,其间富含有孔毛细血管及少量结缔组织,还可见散在脂肪细胞,并随年龄增长而增多。腺细胞有主细胞嗜酸性细胞两种(图11-3)。

甲状旁腺


图11-3 甲状旁腺

(一)主细胞[编辑 | 编辑源代码]

主细胞(chief cell)呈圆形或多边形,核圆,位于细胞中央,HE染色切片中胞质着色浅。电镜下,胞质内含粗面内质网高尔基复合体和直径200~400nm的分泌颗粒,还有一些糖原和脂滴(图11-4)。细胞分泌颗粒内的甲状旁腺激素(parathyroid hormone)以胞吐方式释放入毛细血管内。甲状旁腺激素是肽类激素,主要功能是作用于骨细胞破骨细胞,使骨盐溶解,并能促进肠及肾小管吸收钙,从而使血钙升高。在甲状旁腺激素和降钙素的共同调节下,维持着血钙的稳定。

(二)嗜酸性细胞[编辑 | 编辑源代码]

从青春期前后开始,某些动物和人的甲状旁腺内出现嗜酸性细胞(oxyphil cell),并随年龄而增多,细胞常单个或成群存在于主细胞之间。嗜酸性细胞比主细胞大,核较小,染色较深,胞质内含密集的嗜酸性颗粒,故呈强嗜酸性。电镜下,嗜酸性颗粒乃是线粒体,其它细胞器均不达,糖原和脂滴也少,且无分泌颗粒(图11-4)。此细胞的机能意义不明。

甲状旁腺主细胞及嗜酸性细胞超威结构模式图


图11-4 甲状旁腺主细胞及嗜酸性细胞超微结构模式图

参看[编辑 | 编辑源代码]