病理学/酒精性肝病

来自医学百科

酒精性肝病(alcoholic liver disease)为慢性酒精中毒的主要表现之一。长期大量酗酒者据统计有10%~20%发生此类损伤。严重时出现临床表现,如呕吐呕血或黑便,其中部分可发生黄疸肝功能衰竭

【病变】

慢性酒精中毒主要引起肝的3种损伤,即脂肪肝酒精性肝炎酒精性肝硬变。三者可单独出现,也可同时并存或先后移行。一般认为脂肪肝在先,或经过酒精性肝炎再演变为肝硬变,或直接演变为肝硬变。

1.脂肪肝酒精中毒最常见的肝病变是脂肪变性肝细胞含有相当大的脂滴,可将胞核推挤到细胞一侧,肝细胞肿大变圆。小叶中央区受累明显,有时同时伴有各种程度的肝细胞水样变性。单纯的脂肪肝常无症状。

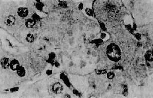
2.酒精性肝炎(alcoholic hepatitis)在有临床肝症状表现的病例,常出现3种病变:肝细胞脂肪变性,酒精透明小体(alcoholic hyalin,AH 图10-42)形成和灶状肝细胞坏死中性粒细胞浸润

酒精性肝炎


图10-42 酒精性肝炎

图中央区肝细胞浆内见成群的酒精透明小体

3.酒精性肝硬变(alcoholic cirrhosis) 一般认为此种肝硬变是由脂肪肝和酒精性肝炎进展而来。一般的脂肪肝,如继续酗酒则多发展为酒精性炎,再演变为肝硬变。酒精性肝炎时肝细胞发生坏死,最终引起纤维化。相邻肝小叶的纤维化条索相互连接,导致肝小叶的正常结构被分割破坏,发展成假小叶及肝细胞结节状再生,形成酒精性肝硬变。

【发病机制】

肝是酒精代谢、降解的主要场所。酒精对肝有直接损伤作用。其机制如下:

1.NADH对NAD比值增高的效应进入肝内的酒精,在乙醇脱氢酶微粒体乙醇氧化酶系的作用下转变为乙醛,再转变为乙酸。后一反应使辅酶Ⅰ(NAD)转变为还原型辅酶Ⅰ(NADH),因而NADH/NAD值增高。①NADH增多有抑制线粒体三羧酸循环的作用,从而使肝细胞对脂肪酸的氧化能力降低,可引起脂肪在肝内堆积而发生脂肪肝。②NADH增多可使细胞代谢中的乳酸增多,后者对肝内脂肪变及胶原形成等有促进作用。③NADH增多,使线粒体增加以NADH的再氧化,致耗氧过多。肝细胞因缺氧而易于发生坏死和纤维化。

2.乙醛的毒性作用在酒精代谢过程中产生的乙醛具有强烈的生化反应和毒性,可影响肝细胞膜的性状及抑制肝细胞合成的蛋白的分泌排出。

3.营养缺乏作用嗜酒者常有的营养不足,尤其是蛋白质缺乏,使肝内氨基酸酶类减少,可以促进酒精的毒性作用。

参考[编辑 | 编辑源代码]