病理学/糖尿病

来自医学百科

糖尿病(diabetes mellitus)是由于胰岛素缺乏或(和)胰岛素的生物效应降低而引起的代谢障碍,为以持续的血糖升高和出现糖尿为主征的常见病发病率为1%~2%。

【病因和发病机制】

糖尿病依病因可分为原发性继发性两类。继发性糖尿病是由于炎症肿瘤、手术等已知疾病造成胰岛广泛破坏,或由于其他内分泌的异常影响胰岛素的分泌所导致的糖尿病。日常所称糖尿病乃指原发性糖尿病,按其病因、发病机制、病变、临床表现及预后的不同可分为以下两种。

(一)胰岛素依赖型糖尿病

胰鸟素依赖型糖尿病(insulin-dependent diabetes mellitus,IDDM)又称Ⅰ型糖尿病,占糖尿病的10%~20%,患者多为青少年,发病时年龄小于20岁,胰岛B细胞明显减少,血中胰岛素明显降低,易合并酮血症甚至昏迷,治疗依赖胰岛素。目前认为其发病是在遗传易感性素质的基础上,胰岛感染病毒(如腮腺炎病毒风疹病毒柯萨奇B4病毒等)或受毒性化学物质(如吡甲硝苯脲等)的影响,使胰岛B细胞损伤,释放出致敏蛋白,引起自身免疫反应(包括细胞免疫体液免疫),导致胰岛的自身免疫性炎症,进一步引起胰岛B细胞严重破坏。

遗传易感性素质的主要根据是:一卵性双生的一方得病,50%的另一方也得病;与HLA类型有明显关系,在中国此型患者中DR3及DR4的分布频率明显增加,有人统计HLA-DR3或DR4的人群患此病的危险性比其他人高5~7倍。这些人存在免疫缺陷,一方面对病毒的抵抗力降低,另一方面抑制性T细胞的功能低下,易发生自身免疫反应(参阅本章毒性甲状腺肿)。

自身免疫反应的主要根据是:患者早期胰岛中有大量淋巴细胞浸润(胰岛炎),其中包括CD4+T细胞,与Ⅰ型糖尿病动物模型所见一致,从Ⅰ型糖尿病动物中提取的CD4+T细胞转移给正常动物可引发该病;90%患者发病后一年内血中可查出抗胰岛细胞抗体;10%的患者同时患有其他自身免疫性疾病

(二)非胰岛素依赖型糖尿病

非胰岛素依赖型糖尿病(non-insulin dependent diabetes mellitus,NIDDM)又称Ⅱ型糖尿病,发病年龄多在40岁以上,没有胰岛炎症,胰岛数目正常或轻度减少。血中胰岛素开始不降,甚至增高,无抗胰岛细胞抗体,无其他自身免疫反应的表现。本型虽然也有家族性,一卵性双生同时发病者达90%以上,但未发现与HLA基因有直接联系。其发病机制不如Ⅰ型糖尿病清楚,一般认为是与肥胖有关的胰岛素相对不足及组织对胰岛素不敏感(胰岛素抵抗)所致。

肥胖是本型发生的重要因素,患者85%以上明显肥胖,只要减少进食,降低体重,血糖就可下降,疾病就可得到控制。引起发病有两个重要环节:①胰岛素相对不足及分泌异常。长期高热量食物,刺激胰岛B细胞,引起高胰岛素血症,但与同样肥胖的非糖尿病者相比,血中胰岛素水平较低,因此胰岛素相对不足。此外对葡萄糖等刺激,胰岛素早期呈现延缓反应,说明胰岛B细胞本身也有缺陷。长期过度负荷可使胰岛B细胞衰竭,因此本病晚期可有胰岛素分泌绝对缺乏,不过远比Ⅰ型为轻。②组织胰岛素抵抗,脂肪细胞越大对胰岛素就越不敏感,脂肪细胞及肌细胞的胰岛素受体减少,故对胰岛素反应差,这是高胰岛素血症引起胰岛素受体负调节的表现;此外营养物质过剩的细胞还存在胰岛素受体后缺陷(defect of postreceptor signaling by insulin),使葡萄糖及氨基酸等不能通过细胞膜进入细胞内,事实上营养过剩的细胞(也包括肝细胞及肌细胞)已失去正常处理血液中营养物质的能力。

非肥胖型Ⅱ型糖尿病患者对葡萄糖早期胰岛素反应比肥胖型患者更差,提示胰岛B细胞缺陷更严重,同时组织也呈胰岛素抵抗,其原因不明,可能与基因异常有关。

糖尿病患者在临床上不仅呈糖代谢障碍,也有脂肪及蛋白代谢障碍。胰岛素的不足(绝对或相对)及组织胰岛素抵抗使葡萄糖利用及糖原合成减少,导致高血糖。血糖超过肾阈值则出现尿糖及高渗性利尿(多尿)。这将引起水及电解质的丢失,进一步导致细胞内水减少,故患者出现口渴。由于营养物质得不到利用,患者食欲常增强,而体重却减轻(主要见于Ⅰ型及严重的Ⅱ型糖尿病)。

在胰岛素严重缺乏情况下(见于Ⅰ型糖尿病),蛋白及脂肪分解代谢增强而生成氨基酸及脂肪酸,氨基酸在肝内作为糖异生的原料被利用,而脂肪酸则在肝内氧化生成酮体(乙酰乙酸、β-羟丁酸丙酮),出现酮血症(ketonemia)及酮尿症(ketonuria),前者可导致糖尿病昏迷。部分患者胰岛A细胞分泌高血糖素(glucagon)增高,能加速脂肪酸的氧化。

病理变化】

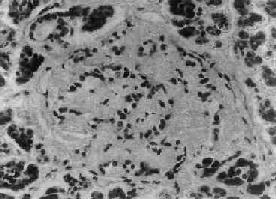
1.胰岛的病变不同类型的糖尿病及其不同时期,病变差异甚大。Ⅰ型糖尿病早期可见胰岛炎,胰岛内及其周围有大量淋巴细胞浸润,偶见嗜酸性粒细胞。胰岛细胞进行性破坏、消失,胰岛内A细胞相对增多,进而胰岛变小,数目也减少,有的胰岛纤维化;Ⅱ型糖尿病用常规方法检查时,早期几无变化,以后可见胰岛B细胞有所减少。常见变化为胰岛淀粉样变,在B细胞周围及毛细血管间有淀粉样物质沉着(图15-18),该物质可能是胰岛素B链的分解产物。

糖尿病之胰岛图示胰岛淀粉样变


图15-18 糖尿病之胰岛

图示胰岛淀粉样变

2.其他组织变化及合并症

(1)动脉病变:①动脉粥样硬化,比非糖尿病患者出现较早且较严重;②细动脉玻璃样变,表现为基底膜增厚,富于Ⅳ型胶原的物质沉着,由于通透性增高致蛋白质漏出增多,故动脉壁有蛋白质沉积,造成管腔狭窄,引起组织缺血。合并高血压者,此变化更明显。

(2)肾病变:①肾小球硬化,有两种类型,一种是弥漫性肾小球硬化(diffuse glomerulosclerosis),肾小球毛细血管基底膜弥漫增厚,血管系膜细胞增生基质增多;另一种为结节性肾小球硬化(nodular glomerulosclerosis),其特点是部分系膜轴有多量透明物质沉着,形成结节状,结节外周为毛细血管袢。②动脉硬化小动脉硬化肾硬化。③急性和慢性肾盂肾炎,易伴有肾乳头坏死,后者是由于在缺血的基础上对细菌感染更加敏感。④肾近曲小管远端上皮细胞有糖原沉积。

(3)糖尿病性视网膜病。可分两种,一种是背景性视网膜病(background retinopathy),视网膜毛细血管基底膜增厚,小静脉扩张,常有小血管瘤形成,继而有水肿、出血;另一种是由于血管病变造成视网膜缺氧,刺激引起血管新生及纤维组织增生,称为增殖性视网膜病(proliferative retinopathy)。视网膜病变易引起失明。除视网膜病变外,糖尿病易合并白内障

(4)神经系统病变周围神经包括运动神经感觉神经植物神经都可因血管变化引起缺血性损伤,出现各种症状,如肢体疼痛、麻木、感觉丧失、肌肉麻痹以致足下垂、腕下垂、胃肠及膀胱功能障碍等;脑细胞也可发生广泛变性。

(5)其他器官病变:肝细胞核内糖原沉积;由于高血脂症皮肤可出现黄色瘤结节或斑块。

(6)糖尿病性昏迷:其原因有①酮血症酸中毒;②高血糖引起脱水及高渗透压

(7)感染:由于代谢障碍及血管病变使组织缺血,极易合并各种感染。

参考[编辑 | 编辑源代码]