牙片

来自医学百科
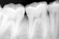
Bkfw6.jpg


牙齿的X线片简称为“牙片”,也称口内标准片。其面积为3×4平方厘米。一张牙片可以显示3-4个牙齿。牙齿在牙片上显示出白色阻射影像。其中牙釉质阻射最强,牙本质牙骨质阻射低于牙釉质。牙髓腔呈黑色透明影像,根管口根尖孔呈逐渐变细的影像。

牙片是口腔科应用最广的检查手段,也是最常用的,因为它在牙的治疗前、治疗中和治疗后都有助于诊断和治疗。治疗前有助于发现病变;治疗中可用插针照相方法了解扩根情况等;治疗后观察疗效等。

临床上,利用牙片对牙齿硬组织病变、牙髓病变、尖周病变及牙周病进行诊断治疗。

(1)牙齿硬组织病变:

浅龋:由于浅龋仅发生牙齿颜色的改变,主观症状不明显,不易被发现。因此,浅龋病变在下列情况下需作X线检查:①不易发现的,如牙颈部、邻面龋等。②不能确定是否有龋坏,如探针勾不住的龋面、邻接粗糙面和放下粗糙面。③无形态缺损的早期龋的诊断有困难时。

中龋:由于中龋有明显的龋洞,主观症状是接触冷、热、酸、甜性食物疼痛。X线检查的目的是:①确定龋坏的程度和龋坏的范围。②检查补料下面的情况,如有无继发性龋坏。③邻面龋坏深度与牙髓角或牙髓腔的关系。

深龋:是牙齿龋坏员严重的损害。主观症状明显,容易检查发现。由于深龋治疗比较复杂,如果治疗不妥,可以出现治疗后疼痛等问题。所以,X线检查的目的是:①了解龋洞底与牙髓腔的距离,包括与髓角的关系。②了解髓腔的变化情况和根尖周情况。

(2)牙髓病变:牙片帮助检查引起牙髓炎症的病因,如隐匿龋、邻面龋、牙髓石症、牙齿内吸收等。

(3)尖周炎症:由于牙根的牙髓组织发炎,引起牙根尖组织病变,如根尖牙周膜腔增宽、根尖囊肿等病变均可在牙片上显示出来。尖周炎症作牙片检查的临床意义有:①了解病牙根管情况:如根管数目、粗细、弯曲度以及有无钙化、有无内吸收等情况。②帮助确定病牙:如两牙之间的瘘管插入牙胶尖作牙片检查,可以显示牙胶尖偏于某一牙齿。③检查治疗情况:如牙片显示根管充填是否到底或有无超填。

(4)牙周炎症:牙片对诊断牙周炎性病变有很重要的价值,因为牙片能显示牙槽骨病变情况。如果牙片显示牙槽骨吸收程度,可确定牙周炎程度。

另外,牙片也用于阻生牙埋伏牙及替换牙的检查和治疗。