淋巴小结

来自医学百科

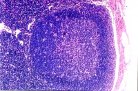
淋巴小结(lmphoidnodule)又称淋巴滤泡(lymphoidfollicle),呈圆形或椭圆形密集的淋巴组织,小结的形态明显,境界清晰,通常直径为0.2~1.0mm。淋巴小结内有大量的B淋巴细胞,尚有少量T淋巴细胞和巨噬细胞。淋巴小结的形态结构随生长发育程度和免疫功能状态而经常处于动态变化之中。  

类型[编辑 | 编辑源代码]

通常淋巴小结有两种类型:初级淋巴小结(primarylymphoidnodule),见于未受刺激的淋巴小结,体积较小,是由分布均匀并密集的小淋巴细胞所组成;次级淋巴小结(secondarylymphoidnodule)的周围有扁平的网状细胞,境界清楚,在小结的中央部分染色较浅,常见细胞分裂象,此处产生林巴细胞,故称生发中心(germinalcenter)。  

原理[编辑 | 编辑源代码]

当受到抗原刺激时,生发中心迅速增大,并有大量巨噬细胞聚集。在发育充分及免疫应答活跃的次级淋巴小结的中央有明显的生发中心,多呈圆形或椭圆形,直径约0.1~1.0mm,是有极性的结构。由内向外可区分出暗区和明区二部分。暗区(darkzone)是生发中心的内侧份,主要由幼稚的大淋巴细胞密集而成,胞质嗜碱性强,故染色较深,在大淋巴细胞之间也可见吞噬啐屑的巨噬细胞和装细胞;明区(lightzone)是生发中心的外侧份,含有较多的网状细胞、巨噬细胞、滤泡树突细胞称中等大的淋巴细胞,这些淋巴细胞是由暗区的大淋巴细胞转化而来,细胞分有松散,放着色较淡;在生发中心的顶部及周围有一层密集的小淋巴细胞称为帽(cap)或小结帽,这些小淋巴细胞多为B记忆淋巴细胞和浆细胞的前身,分布在生发中心的顶部和周围,着色较深、形似新月。小结帽多位于淋巴流入的方向,或朝向抗原进入的方向,为最先接触抗原的部位。淋巴小结的形态和结构不是固定不变的,抗原刺激与否及抗原刺激程度均影响到淋巴小结出现的数量和形态结构,因此、淋巴小结是反映体液免疫应答的重要形态学标志。  

淋巴小结组成[编辑 | 编辑源代码]

淋巴小结主要是B淋巴细胞分布和转化的部位。暗区的大淋巴细胞不断分裂和分化成为明区的中淋巴细胞,明区的中林巴细胞进一步增植分化成为小结帽的小淋巴细胞。其中大部分为记忆淋巴细胞,可参加淋巴细胞的再循环,当再次遇到相应的抗原刺激,即再度分化为效应细胞;一部分为浆细胞的前身,它们由小结迁移到髓质,通过淋巴和血循环进入其他淋巴器官、淋巴组织或慢性炎症处附近的结缔组织,转化为浆细胞,分泌抗体。  

淋巴小结的生发中心[编辑 | 编辑源代码]

除有一般网状细胞外,还有许多滤泡树突细胞(folliculardendriticcell),它主要位于淋巴小结的生发中心,突起细长而且分支,胞质暗酸性,对5-核苷酸酶呈阳性及反应,核多呈椭圆形。其功能是滤泡树突细胞膜的表面能保留抗原和吸附抗原抗体复合物,调节B淋巴细胞的免疫功能。根据存在形式,淋巴小结又可分为两种类型:单独存在的称为孤立淋巴小结(solitarylymphoidnodule);有的由10~40个左右淋巴小结成群存在,则称为集合淋巴小结(aggregatedlymphoidnodules)。淋巴小结除分布在淋巴器官外,还分布于消化管呼吸道及泌尿、生殖管道的粘膜中,构成免疫的第一道防线。随着机体的生理病理状态的不同,淋巴组织的形态经常处于动态变化之中。  

淋巴组织重要的生理特性[编辑 | 编辑源代码]

主要体现在充满于淋巴组织中的淋巴细胞,虽形态相似,但在超微结构上有所不同、免疫功能也不是单一的群体。淋巴组织中的淋巴细胞具有下列重要特性:①特异性(specificity)。淋巴细胞表面有抗原受体,用以识别抗原;不同淋巴细胞的抗原变体是不同的,每一受体只能与相应的抗原相结合,这就是特异性;抗原受体类型约有100万种,全身的淋巴细胞总合起来就能识别各种抗原。②转化性:正常体内大多数淋巴细胞均处平静止状态;只有当某种淋巴细胞受到相应抗原刺激后才被激活.这个过程称为转化性(transformation),一般需经过40小时,淋巴细胞形态上发生了明显变化,由一个直径5~7μm的小淋巴细胞转变为一个~30μm的大淋巴细胞。细胞的代谢增强,形态明显变化,核增大,染色质变细,核仁明显,胞体内核糖体增多,胞质染色呈较强的嗜碱性;淋巴细胞转化后,进行分裂增生,其中大部分可形成参与免疫应答的效应细胞,如能破坏靶细胞的T效应细胞,或能分泌抗体的浆细胞(B效应细胞);这些细胞代谢活跃,能产生免疫效应,但寿命短(约数天或数周)。③记忆(memory):淋巴细胞经抗原激活转化后,分裂增殖形成的细胞中,有一部分再度转化为静息状态的淋巴细胞,称为记忆性(T或B)淋巴细胞,其寿命长,可达数年或终生存在,它们在遇到相应抗原刺激后,能迅速转化为效应细胞,及进清除抗原,使机体免于发病。淋巴细胞这些特性,保持淋巴细胞正常形态和生理的动态活动。

淋巴小结光镜图