匿名
未登录
讨论
贡献
登录
医学百科
搜索
感觉上皮
来自医学百科
名字空间
页面
更多
更多
语言
页面选项
Read
编辑
编辑源代码
历史
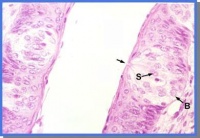
舌
轮廓乳头
上皮
内的
味蕾
,
染色
淡,其顶端的开口为
味孔
(箭头)。味蕾含
感觉上皮
细胞
(S),其基底面与
味觉
神经末梢
形成
突触
;深部有
基细胞
(B)。舌,HE染色
分类
:
解剖学及组织胚胎学
细胞生物学
基本组织
导航
导航
症状百科
疾病百科
药品百科
中医百科
中药百科
人体穴位图
全国医院列表
功能菜单
最近更改
随机页面
Wiki工具
Wiki工具
上传文件
特殊页面
页面工具
页面工具
用户页面工具
更多
链入页面
相关更改
可打印版本
固定链接
页面信息
页面日志
分类
分类
解剖学及组织胚胎学
细胞生物学
基本组织