宫颈上皮内瘤样病变

来自医学百科

模板:Medical small


宫颈上皮内瘤样病变英文名:Cervical intraepithelial neoplasia, CIN),也称宫颈非典型增生英文名:cervical dysplasia)或宫颈间质瘤cervical interstitial neoplasia),是宫颈不典型增生和宫颈鳞形细胞原位癌的总称,也是宫颈浸润癌的癌前期病变[1]。宫颈上皮内瘤样病变并非癌症,也能够治疗[2]。绝大多数的宫颈上皮内瘤样病变患者病情稳定,但是少量病例会恶化为宫颈癌[3]。引起CIN的主要原因是人乳头瘤病毒(HPV)在宫颈部位的慢性感染,特别是高感染度的16或18型HPV。

显微镜下看到的最早病理子宫颈上皮细胞或表面发育不良,并且在妇女体内无法本质上发现。在HPV感染后能够看到细胞改变,比如挖空细胞英语-{koilocyte}-中通常能够看到宫颈上皮内瘤样病变。宫颈上皮内瘤样病变通常通过筛选试验发现,比如通过巴氏涂片法英语-{Bethesda System}-进行子宫颈抹片检查,检测可能的癌前症状。检查若不正常,则需要子宫阴道镜进行放大,或进行活体检查

病因[编辑 | 编辑源代码]

宫颈上皮内瘤样病变的病因比较复杂,与此疾病有明显相关性的因素有[1]

  • 感染“高危”型人乳头瘤病毒(比如第16、18、31、45型)的妇女
  • 患有免疫力缺陷的妇女
  • 17岁之前生孩子的妇女

此外一些危险因素会引起宫颈上皮内瘤样病变[4],包括节食、多名性伴侣、缺乏避孕套使用、以及吸烟

分类[编辑 | 编辑源代码]

根据患有HPV的不同类型和感染部位,宫颈上皮内瘤样病变可以分为三个级别,病情可能会加重或复原[1]

宫颈上皮内瘤样病变分为以下几级:

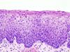
组织学分级 细胞学 描述 图像
正常宫颈鳞状上皮
Cervical intraepithelial neoplasia (1) normal squamous epithelium.jpg
CIN 1(I级,轻度不典型增生) 低度鳞状上皮内病变英语-{low grade squamous intraepithelial lesion}-[5] 最低危险的类型,表现为轻度的发育异常英语-{dysplasia}-,也是不正常的细胞增殖[3]。局限于宫颈上皮层的下1/3,病变部分与正常细胞层分界清楚。如果病情与HPV感染有关,通过一年左右的免疫反应疾病会康复,一切病情需要更长恢复时间。
Cervical intraepithelial neoplasia (2) koilocytosis.jpg
CIN 2/3 高度鳞状上皮内病变英语-{high grade squamous intraepithelial lesion}- CIN2型和CIN3型的前期症状
CIN 2(II级) 不典型增生细胞占宫颈上皮层的下部2/3,病变部分与正常细胞层分界清楚。
Cervical intraepithelial neoplasia (3) CIN2.jpg
CIN 3(III级) 不典型增生细胞几乎浸及全上皮层,仅剩表面正常鳞状上皮细胞。病情可能会判定为子宫颈原位癌
Cervical intraepithelial neoplasia (4) CIN3.jpg


治疗[编辑 | 编辑源代码]

对于CIN1型的患者,可通过时间自愈而选择暂缓治疗[6]。然而对这些患者应定期密切随诊,定期行宫颈脱落细胞学及阴道镜检查。如果在12个月内,经过多次检查病变仍持续存在或进展,就应该开始治疗[6]

对多数中度不典型增生、所有重度不典型增生及原位癌的患者,均应给予积极的治疗,其中包括冷灼法英语-{cryocautery}-电烙术英语-{electrocautery}-烧烙术英语-{Cauterization}-行子宫颈电热圈环切术英语-{loop electrical excision procedure}-宫颈锥切术英语-{cervical conization}-。有治疗意义的HPV疫苗正在临床试验阶段。

宫颈上皮内瘤样病变的手术治疗可能会导致女性不育症或生育能力降低的危险增加[7]

预后[编辑 | 编辑源代码]

通常认为宫颈上皮内瘤样病变均随着阶段恶化形成癌症的情况是呈线性关系[3][8][9]。但是大多数宫颈上皮内瘤样病变案例会自愈。CIN1型患者中大约70%的在一年内自愈,90%的在两年内自愈[10]。大约50%的CIN2型患者在两年内自愈。

恶化为宫颈原位癌英语-{cervical carcinoma in situ}-的病例发生于11%的CIN1型和22%的CIN2型患者中。恶化为浸润鳞癌的病例发生于大约1%的CIN1型、5%的CIN2型、和至少12%的CIN3型患者中[11]

恶化为癌症情况通常需要平均15年(3至40年)的时间。证据显示,癌症病例可能在最初探测阶段或低级类型未能发现,而直接恶化为癌症[1][3][12]。在感染HPV疾病后,一些HPV高级病种会不激活包括p35蛋白英语-{p35}-、网膜母细胞瘤蛋白肿瘤抑制基因,从而使得受感染的细胞能够规避检查、并大量积累,进而恶化为癌症[1]

流行病学[编辑 | 编辑源代码]

大约25万至100万美国妇女患有宫颈上皮内瘤样病变,妇女可能在任何年龄都会患有宫颈上皮内瘤样病变,但是主要的发病年龄是在25至35岁[1]

相关条目[编辑 | 编辑源代码]

参考文献[编辑 | 编辑源代码]

  1. 1.0 1.1 1.2 1.3 1.4 1.5 Kumar, Vinay; Abbas, Abul K.; Fausto, Nelson; & Mitchell, Richard N.. Robbins Basic Pathology. Saunders Elsevier, 2007. pp. 718–721.
  2. Cervical Dysplasia: Overview, Risk Factors
  3. 3.0 3.1 3.2 3.3 Agorastos T, Miliaras D, Lambropoulos A, Chrisafi S, Kotsis A, Manthos A, Bontis J. Detection and typing of human papillomavirus DNA in uterine cervices with coexistent grade I and grade III intraepithelial neoplasia: biologic progression or independent lesions?. Eur J Obstet Gynecol Reprod Biol. 2005, 121 (1): 99–103. Error: Bad DOI specified模板:Namespace detect showall. PMID 15949888. 
  4. Murthy NS, Mathew A.. Risk factors for pre-cancerous lesions of the cervix. European Journal of Cancer Prevention. February 2000, 9 (1): 5–14. Error: Bad DOI specified模板:Namespace detect showall. 10777005. PMID 10777005. 
  5. Park J, Sun D, Genest D, Trivijitsilp P, Suh I, Crum C. Coexistence of low and high grade squamous intraepithelial lesions of the cervix: morphologic progression or multiple papillomaviruses?. Gynecol Oncol. 1998, 70 (3): 386–91. Error: Bad DOI specified模板:Namespace detect showall. PMID 9790792. 
  6. 6.0 6.1 模板:Citation
  7. PMID 23489374(PubMed
    本引用来源将会在数十分钟后自动完成。您可以检查英文对应模板手动扩充
  8. Hillemanns P, Wang X, Staehle S, Michels W, Dannecker C. Evaluation of different treatment modalities for vulvar intraepithelial neoplasia (VIN): CO(2) laser vaporization, photodynamic therapy, excision and vulvectomy. Gynecol Oncol. 2006, 100 (2): 271–5. Error: Bad DOI specified模板:Namespace detect showall. PMID 16169064. 
  9. Rapp L, Chen J. The papillomavirus E6 proteins. Biochim Biophys Acta. 1998, 1378 (1): F1–19. PMID 9739758. 
  10. Bosch FX, Burchell AN, Schiffman M, Giuliano AR, de Sanjose S, Bruni L, Tortolero-Luna G, Kjaer SK, Muñoz N. Epidemiology and natural history of human papillomavirus infections and type-specific implications in cervical neoplasia. Vaccine. August 2008, 26 (Supplement 10): K1–16. Error: Bad DOI specified模板:Namespace detect showall. 18847553. PMID 18847553. 
  11. Section 4 Gynecologic Oncology > Chapter 29. Preinvasive Lesions of the Lower Genital Tract > Cervical Intraepithelial Neoplasia in: Bradshaw, Karen D.; Schorge, John O.; Schaffer, Joseph; Lisa M. Halvorson; Hoffman, Barbara G.. Williams' Gynecology. McGraw-Hill Professional, 2008.
  12. Monnier-Benoit S, Dalstein V, Riethmuller D, Lalaoui N, Mougin C, Prétet J. Dynamics of HPV16 DNA load reflect the natural history of cervical HPV-associated lesions. J Clin Virol. 2006, 35 (3): 270–7. Error: Bad DOI specified模板:Namespace detect showall. PMID 16214397. 


模板:女性生殖道肿瘤 模板:女性盆腔和生殖器疾病

参考来源[编辑 | 编辑源代码]