多发性硬化症
多发性硬化症乃是中枢神经系统和免疫有关的发炎及去髓鞘(demyelinating)疾病。实际上、神经纤维(axon)、神经元(neuron)及寡棘突细胞(oligodedrocyte)亦会受损。
在欧美、多发性硬化症是年轻人除了外伤之外导致神经障碍最常见的疾病。但在国内仍不为一般医师所熟悉、因此、藉这个机会做个简短的介绍。
地缘性[编辑 | 编辑源代码]
70-75%病患为女性。不过、在原发性进展型多发性硬化症(primary progressive multiple sclerosis; PPMS),男女比例相当。多在年轻时期发病、以20-40岁最多。平均30岁时发生第一次症状。原发性进展型多发性硬化症则较老、平均39-40岁时发病。大多数多发性硬化症病患是白人、尤其北欧北美为甚。大概40万国人罹患此疾、而全世界大概有一百万名病患。而越靠近赤道、尤其是热带地区发病率很低。
移民理论[编辑 | 编辑源代码]
(migrant theory)
多发性硬化症被推测在已开发的工业、且具备较佳卫生的国家较 常发生。一个移民的研究发现、西印度移民至伦敦後、其多发性硬化症发生率仍然偏低;但其子女的罹病率和伦敦其他住民是相同的。
原因[编辑 | 编辑源代码]
至今、多发性硬化症的原因仍然不明。推测会有一些引起发作的诱发因子。
其中以病毒感染最为熟知;亦有些报告显示和细菌有关。 另外,以下的因子亦列入考虑:
生产:产後三个月有高复发率。
免疫:研究上和Interferon gamma及tumor necrosis factor blocker有关。
压力:最近的研究显示核磁共振上的病灶和压力有关。
分类[编辑 | 编辑源代码]
事实上、有20%的病人并无症状、而是在死後解剖发现大脑有其病灶。85%多发性硬化症病患初发时以反覆复发缓解(relapse remitting multiple sclerosis : RRMS)来表现;其中30%进展为二次性进展型多发性硬化症(secondary progressive multiple sclerosis; SPMS)、之前反覆复发缓解的病程趋缓。10%病患属于原发性进展型多发性硬化症、无法看到明确缓解的病程、而是自病程开始便持续恶化、其预後亦最差。
临床症状[编辑 | 编辑源代码]
因多发性硬化症会侵犯神经纤维的髓鞘、故临床症状端看受损神经纤维为何而决定。一般而言、运动、感觉、以及视觉的影响都很常见;若脑干及小脑系统的神经纤维受损、复视、吞咽困难、步履不稳、晕眩的症状亦可能发生。如果脊髓发炎、除了运动、感觉功能外、排泄的功能亦发生障碍。少数病患还会有癫痫及智能障碍的发生。
多发性硬化症的特征是中枢神经系统功能障碍的症状和体征的多样化,配合反复的缓解与复发.最常见的发病症状为感觉异常,出现在一个或几个肢体,躯干或一侧的面部;腿或手的无力或笨拙;或视觉障碍,例如单眼的部分性失明与眼球活动时的疼痛,视物模糊或暗点.其他常见的早期症状包括眼肌瘫痪造成的复视,一个或多个肢体的短暂无力,轻微的步态障碍,一个肢体的轻度僵硬与异常的易疲乏,膀胱控制困难,眩晕,以及轻度的情绪障碍;所有这些症状反映中枢神经系统内播散病变,而且往往可以发生在疾病被确诊之前数月或数年之久.身体温度的升高可使症状和体征加重.
复发的特征[编辑 | 编辑源代码]
症状的复发在起始、常是单独的症状、意指只有单独的神经系统受损。症状的发生、常在几小时至几天才发生完全。依照定义、症状要持续24到48小时;如果是阵发性症状、必须持续数星期才合乎诊断要件。96%病患在第一次发作常完全缓解、不过在第一次发作後、25%病患一年内会再发生;40%病患五年内会再发生。无论如何、在病程後期复发的频率逐渐减少。
由反覆复发缓解型进展为二次性进展型多发性硬化症的特征
85%多发性硬化症病患、初发时以反覆复发缓解来表现。其中30%进展为二次性进展型多发性硬化症;其中几种病患特征被视为不利 於预後的因素:
第一次发作时已大於35岁;
第一次发作时已有多处的神经系统受损;
复发的症状以运动消化道排泄功能失调为主;
第一年就有两次以上的复发;
复发後缓解并不完全;
EDSS分数大於3.5分或中度以上的运动障碍。
这样的病患较易进展为二次性进展型多发性硬化症、预後亦较差。
预後[编辑 | 编辑源代码]
多发性硬化症病患、生命长度比起一般人只有轻微影响。多数死因仍是严重疾病後衍生的并发症、如败血症、吸入性肺炎、褥疮等。只有少数病患因脑干生命中枢发炎导致心血管、呼吸系统的影响而死亡。有些病患因心情低落而自杀陨命。在发病15年後、病患多需要辅具等装置、30%病患需以轮椅代步。
仍然有些可评估的较差预後因子如下:
男性病患;
高龄发病;
进展型多发性硬化症;
一年内有二次或两年内有五次以上发病;
多处的神经系统受损尤其以运动消化道排泄功能失调为主;
复发後缓解并不完全;
核磁共振影像上有大的病灶;
脑脊髓液中有免疫球蛋白(IgG)升高,电泳测试出现OCB(oligoclonal band,寡克隆带)。
基因的因素[编辑 | 编辑源代码]
多发性硬化症并非遗传疾病。无论如何、基因仍然在疾病严重性占有重要角色。在日本、将一群主要侵犯视神经及脊髓的多发性硬化症称为神经脊髓型多发性硬化症(opticospinal multiple sclerosis; OS-MS);又称为亚洲型多发性硬化症(Asian MS)。日本学者发现亚洲型多发性硬化症和HLA-DPβ*0501有关。
在危险因子的评估中、有多发性硬化症病患一等亲者,发病机率为3-5%;异卵双胞胎(dizytic twins)3-5%;同卵双胞胎(monozytic twins)者,机率为25%;相较於整个人口0.2%的发病机率仍为升高。无论如何、确切影响的基因(和monozytic twins者同)仍无定论。
环境因子[编辑 | 编辑源代码]
许多环境因子、包括饮食、阳光、及毒物、都曾被考虑为重要的环境因子。但以感染因素为最为重要。目前认为在生命早期接触病毒及细菌、虽然详细机制仍不甚清楚、有可能藉由Molecular mimicry的方式而启始多发性硬化症的病态表现。
免疫因素[编辑 | 编辑源代码]
系统中活化的淋巴球增加; BBB(blood brain barrier)的破坏;使中枢神经系统淋巴球的移入增加;产生局部中枢神经系统免疫反应;继而活化星状细胞(astrocyte)胶细胞(glial cells)以及内皮细胞(endothelial cells);中枢神经系统受损後产生斑块(plaque)。
斑块是多发性硬化症一种特殊病灶的名称:代表组织的破坏。有些斑块很小只有几釐米;有些却可融合成数公分大、它们阻断了神经的传导。不过、仍端视斑块 在脑部及脊髓所在的地方而定。
新的病理假设[编辑 | 编辑源代码]
因多发性硬化症迄今病理机制仍未完全明朗、但目前发现可能单以发炎来解释无法窥知全貌;在晚期神经退化应和病程的不可逆相关。并且不仅是髓鞘被攻击、神经纤维的受损在早期便已经开始、且在每一阶段的病程都有可能出现、神经纤维受损愈多临床障碍愈甚。
免疫的异质性[编辑 | 编辑源代码]
(heterogeneity)
CD4:T细胞在多发性硬化症的免疫损害机制中、扮演重要的角色。不过、仍然有其他多种因素介於其中、但有可能相同的因素未必在不同病患身上都会发生。
荷尔蒙的影响[编辑 | 编辑源代码]
在幼童、多发性硬化症的男女比例通常是接近的;直到青春期时女性病患才逐渐增加、暗示荷尔蒙的变化在多发性硬化症的病理上占有一定的影响。在多发性硬化症的女性病患怀孕第三期复发的机会渐减;但分娩後复发的机会再爬升、然後再回到怀孕前的状态。再者、许多女性病患报告疾病的变化往往和生理期相关。这都解释了荷尔蒙的变化和多发性硬化症的相关性。
诊断[编辑 | 编辑源代码]
通常诊断原则
在年轻女性如果出现自发性缓解的神经症状要强烈怀疑多发性硬化症的诊断有哪些症状要考虑多发性硬化症:
单侧疼痛性视神经炎;
不完全脊髓炎;
单发性脑干及小脑病变;
多发性中枢神经系统白质症候;
遇热及疲倦时出现的神经症候(Uhthoff phenomenon);
阵发性神经症候。
实验室方法
在怀疑多发性硬化症诊断时、需要实验室方法来辅助诊断。目前普遍会采取下列方法:
抽血检测:以排除其他可能诊断、不过、有许多抽血要项无法一一列举;亦不能全数检查。因此、病史的小心询问 病史,事实上很重要。
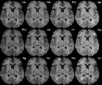
脑部及脊髓核磁共振:最好有显影剂显示新的病灶。在脊髓炎病患、完成脊髓核磁共振後、是否需加做脑部核磁共振的意见仍然莫衷一是。不过、若是定位在脑部的发作、即使是第一次发作、50-65%病患部核磁共振已经有不正常。通常T2-weighted影像是基本的检查、施打显影剂後显示新的T1-weighted病灶表示有急性发作。
脑脊髓液:主要检查有无免疫球蛋白及OCB;亦会计算合并血清白蛋白及免疫球蛋白而换算的IgG index: 如果高於0.7、显示脊髓内制造免疫球蛋白。事实上、脑脊髓液的发炎细胞及蛋白质虽然升高、但若发炎细胞大於50/mm3、蛋白质大於100mg/dl便要考虑其他鉴别诊断。
诱发电位波:体感觉诱发电位(somatosensory evoked potential; SSEP)来检查颈脊髓的病灶;视诱发电位波(visual evoker potential; VEP)来检查视神经发炎;听脑干诱发电位波(auditary brainstem evoked potential; ABEP)来来检查脑干的病灶。
鉴别诊断
多发性硬化症的鉴别诊断其实相当多
基因、感染、发炎、代谢、肿瘤、精神、毒物、血循环等因素、不一而足。因此、病史的小心询问很重要。所以、在作诊断时要小心下列陷阱:
病患的神经学检查正常;
没有任何实验室实验室;
强烈家族倾向;
具有明显神经系统外疾病;
非典型临床症状。
多发性硬化症的主要变异型[编辑 | 编辑源代码]
Devic’s disease :主侵犯视神经及脊髓、和亚洲型多发性硬化症类似。
感染後脑脊髓炎 :其单相病程及发病之前感染及疫苗接种的病史可作区分。
治疗[编辑 | 编辑源代码]
2002年,在总结既往所有的结果后,美国神经病学会出版了多发性硬化调节治疗临床指南。根据大量临床试验的结果,对其中有效的治疗给予了肯定。下面为推荐治疗的四个面: -证明有效的治疗-可能有效的治疗-可疑有效的治疗-未证实的β-干扰素β-干扰素可用于:极可能发展至临床确诊的多发性硬化患者、复发-缓解型多发性硬化、继发-进展型多发性硬化及缓解期患者。β-干扰素在无缓解期的继发性进展型多发性硬化中的疗效尚不清楚。β-干扰素可减少多发性硬化患者或临床独立综合症(仅一次发性硬化样的发作,但未确诊)的发作次数(根据临床判断和头颅MRI扫描)。β-干扰素可减慢残疾程度的持续进展.对发作频繁或多发性硬化早期的患者,β-干扰素治疗更好。增加β-干扰素剂量后,疗效相应提高,但可能是源于给药频率提高,而不是剂量增高所致。
多发性硬化症的治疗基本上分为:
改变疾病病程 (Disease modifying therapy; DMT):目前最普遍为干扰素 interferon、 Glatiramer acetate、Mitoxantrone。在研究中、会减少发作的频率、延长复发的期间减少、核磁共振影像上的病灶、继而增进病患生活品质。但在病患使用前、必须了解DMT的施用并非治愈而是减少发作;并且DMT亦有其副作用、例如:干扰素会有类似感冒的症状以及白血球和肝功能异常、所以常会准备预防性退烧药。
急性发作的治疗: 类固醇的抗发炎及抗水肿作用在急性发作时、作为第一线的治疗。通常使用三天1g针剂Methylprednisolone(去甲强的松龙)静注、但不建议长期使用。
如果病况仍然持续、换血治疗(plasmapheresis)或免疫球蛋白(intravenous immunoglobulin; IVIG)注射亦视为一替代方法。
症状治疗: 多发性硬化症除了发作时类固醇治疗外、其最常见神经障碍为肠道及排泄问题、疲倦、肌张力的升高导致的强直疼痛(spasam; spasticity)、运动障碍、智能障碍(cognitive dysfunction)及情绪低落这些症状亦需要治疗。
2002年,在总结既往所有的结果后,美国神经病学会出版了多发性硬化调节治疗临床指南。根据大量临床试验的结果,对其中有效的治疗给予了肯定。下面为推荐治疗的四个面:
- 证明有效的治疗
- 可能有效的治疗
- 可疑有效的治疗
- 未证实的
β-干扰素
β-干扰素可用于:极可能发展至临床确诊的多发性硬化患者、复发-缓解型多发性硬化、继发-进展型多发性硬化及缓解期患者。
β-干扰素在无缓解期的继发性进展型多发性硬化中的疗效尚不清楚。
β-干扰素可减少多发性硬化患者或临床独立综合症(仅一次发性硬化样的发作,但未确诊)的发作次数(根据临床判断和头颅MRI扫描)。
β-干扰素可减慢残疾程度的持续进展. 对发作频繁或多发性硬化早期的患者,β-干扰素治疗更好。
增加β-干扰素剂量后,疗效相应提高,但可能是源于给药频率提高,而不是剂量增高所致。
多发性硬化完全生活手册[编辑 | 编辑源代码]
一旦被诊断为MS后,患者往往会感到震惊,感到无助,迷茫甚至愤怒。有这些反应完全正常。
但是,需要明白的是得了MS并不意味着失去了正常生活的权利,只是需要花点时间去接受疾病的现实和适应患有多发性硬化(MS)的日子。
了解疾病的有关知识,了解疾病是如何影响生活的方方面面,可以帮你迈出应对疾病的坚实得第一步。
在这个部分,让我们来了解一下疾病是如何影响你,而你应该采取哪些措施或者方法去应对这些问题。
MS患者生活指南
一旦患有MS,你很有必要重新规划一下你的生活方式。但是,这并不意味着你一定要改变确诊前你已经拥有的正常生活。
这个部分是希望尽力帮助你如何提高日常生活的质量,提供给你更多应对疾病的方法,使你的生活变得更加得心应手。
例如,如何安排正确的休息时间以缓解因为MS引起的疲劳,也会提供给你一些建议,减少疾病带来的压力。
当然,也会在饮食,性生活,运动,工作等方面给出参考性的意见,还有如何和家庭成员,朋友相处的方法。
饮食
科学的饮食对于个人健康至关重要,MS患者也不例外。很多年来,科学家们已经发现人们的日常饮食和MS的发病有着千丝万缕的关系。越是经常摄入肉类食物,发病的概率就越高。鱼类食物对疾病有正面作用。生物化学研究证明,所有引起自身免疫系统反应紊乱从而导致多发性硬化疾病发生的蛋白质“信使物质”都由多链饱和脂肪酸和花生四烯酸组成。这些组成成分可以激发感染,而肉类,蛋黄,牛奶或是奶酪富含这些成分。蔬菜类食物却不含这些物质。蔬菜油所含的γ-亚油酸和鱼油可以抑制炎性因子的生成。
所以,多吃鱼和蔬菜,少吃肉类,可以减少花生四烯酸在人体内的生成,并同时减少炎性物质的生成。
下面是一些日常食谱的建议。需要注意的是,这些建议只是常规的建议,患者应该根据自己的需要制定一定食谱,同时,不要忘了咨询医生,看看哪些建议更适合你的健康。
饮食小贴示
热量摄入应该很充分,但是不能过量。建议保持正常的体重
每日入50-80克蛋白质。建议多食富含植物蛋白的食物,如豆腐,带皮土豆,蛋清,谷类,坚果类等食物。
建议大量减少加工食品特别是动物脂肪等的摄入,还要大量减少巧克力,甜食和冰激凌的摄入。
每日吃4到10茶匙(20到50克)优质食用油,如大豆油,麦胚芽油,亚麻子油,这些油类可以提供充分的每日必须的部分多链不饱和脂肪酸。
每日入一些鱼油会对多发性硬化起到良好的改善作用。从生理学和营养学观点来看,鱼类食品具有很高的营养价值,这点已经毋庸置疑了。因为,鱼类特别是深海鱼类富含足量的多链不饱和脂肪酸和高质量的蛋白质。
应该减少碳水化合物中的糖的摄入。选择一些粗粮,如,全麦面粉,全麦面包,糙米(没有精加工的米和燕麦食物。
多吃水果,蔬菜和沙拉以提高食物中的纤维素成分。
将每周食用动物肉类的次数减少到2次到3次,严格克制吃肉的欲望,代替以鱼类食物。最好不吃香场,因为香肠含有大量的脂肪;
无论到哪里,须保证食物高质量性的和自然性。应该少量摄入精加工食品。
运动不能或者长期服用肾上腺皮质激素可以导致骨质疏松的风险大大增加,所以,建议多补充维他命D和钾。适度的有规律的身体锻炼也有助于防止骨质疏松症。
运动
罹患了MS并不意味着严禁运动。相反,研究显示多发性硬化患者定期运动既有益于身体健康也有益于精神健康。运动可以增加肌肉力量和体质。也可以改善痉挛,改善平衡失调以及膀胱和肠功能,也可以减轻MS带来的抑郁和疲劳
在决定实施任何一个运动计划前,不妨先向你的医生或者理疗师咨询一下。通常不建议进行高强度的体力或者脑力运动。建议进行一些轻度到中度的适合MS患者的运动,例如:
运动,步行,骑车,瑜伽,太极拳
根据你当前的身体状况,到健身房进行一些有氧锻炼
一些患者会发现通过MS病友会组织的体育活动可能会帮助他们缓解病情。运动之前,你还需要注意如下一些问题:
不过分操劳,特别是刚开始运动时。以训练或者锻炼结束后1小时内恢复体力和感觉良好为宜;
在进行短时锻炼或者练习前,通常可以先做一些热身运动;
避免疲劳。在运动前保证足够的休息,运动中需要短暂休息;
必要的话,可以告诉活动的组织者或者热心的同伴你患有MS,告诉他们多发性硬化的一些特点。那么在你不得不中断训练或者锻炼时候,或者因为发作而改变训练或锻炼项目的时间时,他们可以理解你。
工作
罹患了多发性硬化后,根据症状和恢复情况,调整你的工作状态,而无需放弃工作。但是,在某些情况下,疾病可能会影响你的日常工作。诸如,影响视力的症状尤其会如此,另外,逐步加重的疲劳感或是注意力集中困难都会影响工作效率。疾病引起的平衡失调等意外也会影响你的工作,这时候,你需要根据你自身的情况选择是否把病情告诉你的老板。
当选择一个工作时,要事先确认这个工作没有重体力劳动的内容或者没有影响你身体健康的特殊任务。如果觉得你目前的工作不利于疾病康复的话,可以考虑换一个工作。
MS患者需要更多的休息间歇和尽可能地有弹性地分配你的工作。可能的话,做一些半天或者兼职工作,而不是全日制的工作。避免有出差的工作。当然,可以找你的老板讨论一下,尽可能地得到他的帮助。
疲劳
MS引起的疲劳的最佳定义是:体力不足和缺乏精神以致影响日常生活的感觉。极度疲乏的感觉是MS人群中最常见的主诉,也是最常见的症状之一。而且,疲乏症状是几个很少无法预测其何时发生的症状之一。
应对情绪改变
MS除了会引起机体的症状,也可以导致人的精神改变。极力否认(拒绝承认现实),焦虑,恐惧,愤怒,负罪感,哀痛和严重的情绪不稳定都是MS引起的典型的精神状态的改变。认知障碍(大多数人不会发生)也可以在疾病发展中表现出来,主要表现为智力下降,逐渐加重的健忘症,精神集中障碍,注意力下降等症状。
性生活
性生活是成年人的基本需要。MS关联的性生活障碍可以使患者的自尊心和健康受到损害。所以,要求夫妻或者性伙伴相互信任,开诚布公地讨论彼此在性生活上可能出现的问题。
引发性生活问题的若干原因
器质性原因通常是导致多发性硬化患者性生活问题的原因。脑部和脊髓的病理改变可以导致性生活的感觉障碍。某些特定情况下。多发性硬化的症状,如疲劳,腿部的痉挛,或者尿失禁均会导致性感觉紊乱。心理问题也常常抑制了性欲。
原发性,继发性,心源性功能障碍
多发性硬化可以通过以下三个途径影响性生活和身体健康,分别称原发性,继发性,心源性性功能障碍。
原发性性功能障碍
原发性性功能障碍直接受到神经系统改变的影响。男性和女性均有性冲动的下降和消失,性器官感觉的改变,性高潮的丧失。
妇女可能会有如下症状:
阴道干燥
很难达到性高潮;
性欲缺乏
男性可能会有如下症状:
阴茎勃起功能障碍和丧失;
阴茎感觉下降;
缺乏性欲
继发性功能障碍
继发性性功能问题起因不是生殖器,而是因为膀胱,肠器官的功能紊乱,痉挛,肌肉萎缩,肌肉震颤,注意力不集中,疲劳而导致的非生殖器感觉改变的性生活障碍。
心源性功能障碍
心源性功能障碍是因为社会和心理学改变而导致的性功能问题。例如,自尊心受挫包括沮丧,抑郁,情绪不稳,这些都会影响亲密的接触和性欲。
向专家咨询
如果你正在反复经历着性问题,就这些问题和你的另一半进行讨论非常重要,并尽可能地去解决这些问题。同时建议你向医生咨询,不管是内科医生,神经科医生,还是妇科医生,揶或是泌尿科医生都可以。
很多方法可以治疗性功能障碍问题,泌尿科医生可以处方一些机械辅助器或者药物,如,伟哥等可以治疗勃起障碍。用一些阴道凝胶剂或者乳剂可以帮助妇女克服阴道干燥。药物可以治疗感觉缺失和痉挛。在冲凉后,和伙伴亲密接触可以帮助提高性欲,或是在早晨,你不太累的情况下进行性生活。
MS和避孕
除非有避孕措施,罹患MS的妇女通常有正常的排卵周期,所以需要采取的避孕措施有:口服避孕药,输卵管结扎,阴道隔膜,避孕膏和绝育手术。
罹患MS的男性可以使用避孕套,如果不想再要孩子的话,可以选择输精管结扎。
没有资料显示MS可以影响女性的生育能力。但是,罹患MS的男性患者可能会因为阴茎勃起不能和射精障碍而导致不育。
旅行
患有MS并不意味着应该放弃外出旅行的机会,实际上,恰恰相反的是,旅游度假可以起到放松作用甚至治疗作用。但是,有些旅行计划还是需要仔细规划,使度假旅行不至于加重疾病。
无论你决定去哪里度假,仔细计划你的行程,准备应付任何可能会出现的问题。避免疲于奔命的旅程,旅程中预留出足够的时间休息,并且确保可以从旅游度假中缓过劲来。
在选择外出的交通方式时,飞机旅行可能比长途汽车更轻松。不要忘记,去热带度假可能不是太合适,热带地区天气偏热,而且感染的几率很大。气候太热可能会诱发甚至加重疾病。记着带好你所有的药物,可能的话带一些杀虫剂或是抗炎软膏。
旅行前应该考虑的问题
到哪里去旅游度假并没有严格的限制,虽然如此,出发前去医院看一次门诊仍然很重要。
但是应该记住在热带国家往往要长时间或者经常暴露于太阳光下,而过度日晒可以诱发暂时的神经症状,例如:Uhthoff’s征。
海关手续
为了保证治疗的连续性,出远门时,应该携带相关药物。因为很多治疗是注射给药,所以旅行时需要携带针筒和注射针。
各国法律关于携带这些东西的规定是各异的。建议联系目的国的海关或者大使馆了解海关在这方面的规定。
例如,美国海关是如下规定的:
必须出示处方,药物不仅需要有商品名还需要有医学名字,携带药物的数量需和逗留的时间相吻合。
必须持有以目的国家文字注明的证明,证明你患有该病,而且需要用处方上显示的治疗方法治疗,同时,标明剂量;
应该始终用原来包装运输药物。
飞机旅行
自从911事件后,很多航空公司都禁止乘机旅客随身携带注射针筒和针。所以,建议拿个冰袋包装你的药物,不能扔掉外包装。妥善装入托运行李,并在办登机手续时,告知机场人员托运行李中装着针筒和注射针。并请他们装运行李时,小心轻放,妥善运输。
运动障碍时,如何准备飞行旅行?
如果你坐着轮椅作飞行旅行,事先一定要做好准备。建议你联系航空公司以保证空中服务员根据你的需要制定周密的旅行安排。航空公司会通知你航空公司的有关规定和建议。
火车旅行
通常,在火车上,很少提供冷藏药物的服务。尽管如此,如果所乘坐的火车有餐车的话,还是应该在火车启动前,要求服务员提供帮助,借他们的冰箱保存治疗药物。
坐火车时,还是应该准备一些冰袋或者野餐包以保存药物,避免因为温度过高导致药物失效。
运动障碍时,如何准备火车旅行?
有些国家,铁路公司会提供给运动障碍的旅客一些信息。在中国,铁路部门还没有制定出针对行动受限旅客的服务内容。但是随着铁路事业的发展,相信中国国内也会越来越重视满足无障碍旅行的需求。到时候,在旅行前,务必向你居住地的铁路部门咨询相关内容,以便早作准备。
怀孕
MS不影响男人和女人的生育能力,也不影响妇女怀孕的能力。当妇女决定受孕时,应该向她的医生咨询,因为大多数的治疗必须终止。
尽管还没有理由怀疑怀孕是否会对MS长期病程产生负面影响;相反的是,医学家发现怀孕期间发作的次数比没有怀孕妇女要少30-50%。反之,分娩后的第一年,发作的风险却是没有怀孕分娩妇女的2-3倍。
怀孕期间体内激素的正常改变,怀孕过程中心理和生理的疲惫,孩子出生后需要悉心照顾,以及需要哺乳,这些都是造成上述发作次数增加的可能原因。
怀孕计划
除个人因素以外,妇女只能在MS病情稳定期间怀孕。如果是正在进行MS治疗的妇女,一旦决定受孕,应该向神经科医生或是妇产科医生咨询。怀孕期间,治疗将不得不暂时停止或延期,我们常称之“治疗假期”。这段时间内需要尽快受孕,而一旦产下孩子需要立即恢复治疗。如果一个特异性的治疗正处在关键时期的话,应该继续治疗,而推迟怀孕的时间,直到结束治疗后,选择适当的时机再怀孕。
分娩
分娩需要使用的药物或者镇痛剂在分娩时不会对MS患者产生负面影响。即使硬膜外麻醉也是如此。
分娩时,MS不会给孕妇制造真正的麻烦,例外的是,加重的肌肉痉挛和因MS产生的更加严重的疲劳会超出孕妇的想象。
哺乳
没有任何理由不让患有MS的妇女给自己的新生儿哺乳,除非她们正在进行药物治疗,而某些药物对新生儿确实有影响。
如果,因MS引起的疲劳非常严重的话,应该适时为新生儿准备一些食物以备晚间喂食。准备一些牛奶和奶粉,可以让父亲或是保姆在晚间喂新生儿。这样可以让妈妈在晚间睡个好觉,避免劳累。
多发性硬化(MS)和家庭[编辑 | 编辑源代码]
在被诊断为MS后,整个家庭或多或少都要受到影响,包括丈夫或者妻子,或者孩子们,还有亲戚和朋友等等。
将病情告诉家庭
首先,你可能面对的最大的问题是:我可以将病情告诉家人吗?很多患者的病情并不严重,所以可以考虑根据个人的情况,决定是否将疾病的实情告诉家人。
如果MS引起的症状非常明显了,而且需要家人持续帮助的话,那么,你就应该开诚布公地向家人解释MS,并且说明疾病将会如何影响你和他们的生活,还有疾病的短期和长期的预后和发展。
一旦你决定将病情告诉你的家庭成员,最好,全家都围坐在一起,明确家里人需要给你怎样的支持,明确你需要或者愿意接受的帮助是哪些。
以下理由可以解释为什么你还是需要依赖家人来帮你做很多事情:
一旦被诊断为MS后,患者不愿意将自己的生活变得太依赖于家人,这个现象很普遍而且完全可以理解。但是,这样做的话,患者会因为疾病症状而容易变得抑郁,最后,会导致现有的状况更加恶化;
家庭成员会担心如果他们帮助了患者,会因此影响患者的自尊心而被拒绝。这样的话,家庭成员会缺乏帮助MS患者的经验;
相反的是,如果家庭成员为患者做的太多,甚至在患者不需要帮助的时候也事无巨细地做这做那的话,可能会使患者对照顾者产生过多不必要的依赖性,这也是不正确的
适应新的生活
有一点非常重要,家人们应团结一致共同应对因为疾病带来的家庭新状况和改变。你和你的直系亲属需要找到最佳的方法,治疗和应对疾病,以及如何解决由疾病产生的各种各样的问题。
中青年,特别是中青年妇女容易罹患MS,所以,家庭,特别是儿童更容易受到疾病的影响。当家人们一起外出郊游,度假,或者处理日常事务时,要保证足够的休息时间。
患者复发时,家庭成员需要了解如何应对这样的情况。孩子们常常有一些莫名的恐惧,担心爸爸或者妈妈会死去,这些问题都需要向家人和孩子解释清楚。
家庭的角色可能会被重新定位,所有家庭成员应该共同担当日常的家务活,使MS患者感到生活更加轻松。
作为父母,可能会因为MS而需要重新分配你的责任,下列建议有助于你重新评估你的家庭生活:
使用各种现有的技术和财力让患者每天的生活尽可能地舒适,例如,在家里安置一些无障碍设施;
作为MS患者,你应该面对的现实是你会或多或少地丧失独立性,不要试图去否认这点;
应该从专业人士那里获得医学和社会心理学方面的帮助,去勇敢地面对疾病的挑战,更加有效地去改善疾患;
你的伴侣应该承担更多的家庭责任,从而让患者得到足够的休息;
需要了解家庭成员的不同要求,将每天的生活安排的井井有条。
MS和伴侣
象其他慢性疾病一样,MS不仅仅影响患者本身,也影响患者的伴侣或者男女朋友。
这个意外的压力有时会使你们的关系变得紧张,但是,如果对MS所产生的问题处理得当的话,也可以尽享更加亲密,关爱的关系。
作为疾病本身的自然性,夫妇任何一方患有MS都会为夫妻的共同生活带来一丝额外的不确定的因素。
对于未婚的伴侣,可能不得不改变结婚的计划,或者可能不得不暂时搁置结合的愿望。
理解对方的需求,专注和分享共同生活的美好时光是非常重要的。
帮助儿童理解MS
如果你有孩子,你需要帮助他们解决因为家里的改变所引起的困惑,特别是他们难以理解这个疾病时。孩子们不会像想象的那么脆弱,他们有能力理解和接受困难和痛苦的现实,这是他们成长中的一部分。所以,你不应该在孩子面前尽力去掩饰患MS的现实,而是和他们展开一个开放的,可以帮助他们正确了解目前状况的交流,让他们明白疾病意味着什么;让他们了解无论疾病如何影响家庭,家庭始终是一个整体。
知识和信任是开启共患难历程的重要一步。
以下是一些建议帮助你如何教你的孩子们更好地理解疾病,以及让他们理解改变目前家庭生活方式的必要性:
坦率地面对孩子,回答他们提出来的任何问题;
和孩子一起研究和讨论多发性硬化;
不要让孩子扮演一个安慰者或是鼓励者的角色,因为这不公平;
不要让孩子的日常生活改变得太多。
照顾您的照顾伙伴
多发性硬化不仅仅只改变你一个人的生活。疾病也深深地影响着你的家庭,朋友,和那些和你最亲近的人。这些人可能会突然发现自己变成了照顾者,一个他们还没有准备好的或是感到害怕的角色。
照顾者在你诊断为MS后,也会表现出和你同样的情绪:愤怒,受伤,悲伤,内疚和对未来的焦虑。也许他们本身没有患病,他们这些感受可能会被忽视和忽略。要认识照顾者的这些情感上的变化和需求,就象对待你的情感需求一样。
不会令人意外的是,最好的照顾者是那些懂得照顾自己的人,这意味着他们乐意说出他们的感受,学习并提供最好的照顾,并且知道何时休息。
成为一个照顾者并不是一件容易的事情。最好的方法是作为一个团队工作。认识每个人的需求,总是彼此交流。相比独自照顾患者,这样做的话,和MS患者一起生活压力会显得轻多了。
宠物
科学研究证明动物所携带的病原体对MS的发展没有任何影响。家里的宠物不会对多发性硬化的患者产生危险。相反,饲养宠物可以转移患者的注意力,从而对疾病有益,也是日常生活的乐趣所在。
多发性硬化症的食疗[编辑 | 编辑源代码]
某些食品可引起多发性硬化症发作,这些有害食品包括牛奶、奶制品、咖啡因、酵母和鼓麦(可在小麦、大麦。燕麦和黑麦中发现),蕃茄酱、醋、酒和谷物也被证实有害,最好的办法是与敏感的特定的食品隔离,停食此食物1个月,然后再重新食用它,去观察此食物是否刺激肌体产生反应。
一些特殊食品被尝试用来改善多发性硬化病人的脂质失衡,两种方法(有时两种方法一起用就逐渐显示其效果:一种是增加脂肪酸的摄人,另一种方法是减少饱和脂肪酸的摄人,以后者更为常用。尽管许多推荐食品中饱和脂肪酸很难达到被减少或清除的目标。例如:无过敏原饮食,严禁食用已知可引起过敏反应,如枯草热、气喘发作的食物。麦麸定为隔离食物时,禁食小麦、黑麦、大麦和燕麦食品及果糖,而且包括大剂量维生素的食品。剑桥液体食品系列为一种平衡的低热卡的食物,通常用于过度肥胖的多发性硬化病人。
最有名的用于多发性硬化病人的食品称Swank食品,由俄勒冈健康科技大学的Roy Swank教授提出,在许多情况下,他有很明显的减短病程、减少发作的作用,此食品含有饱和脂肪含量极低的物质:如向日葵、红花油、橄榄和芝麻油,称作特殊数量的不饱和脂肪油,例如含有像蚕豆油、阔叶的绿色蔬菜、菠菜和羽衣甘蓝及大多数的鱼类。此种食品也包括蛋白质,增补鱼肝油,和大剂量维生素。严格禁食黄油、人造黄油、氢化类油(如可可油、棕榈油)。第一年里,你需按医嘱彻底禁食红肉、花生油、干酪、发酵的冰淇淋、酱油、肉汁。糕点、全牛奶和快餐——所有这些食品中含饱和脂质很高。
如亚油酸,在向日葵油中发现并已知其在调节免疫系统功能中发挥作用。据说可以减轻多发性硬化的严重程度和延长缓解期,晚报春油(Oenothera hienrns)因其特有的脂肪酸成分而大有用途。没有一种鞘类每日可被 5克的卵磷脂强化(保持被冷却状态)。辅酶Q或辅酶Q10。每日30毫克,分两次或3次口服,可以帮助细胞利用氧气。烟酸可以帮助减轻麻刺感和针刺感。
多发性硬化症诊断标准 (1) 临床证据:系指出现神经系统症状及体征,可有客观证据,也可无客观证据。可以完全是患者的主观感觉或在病史中提供的,也可为经医生检查发现的阳性体征。神经系统检查提供的客观体征可提示中枢神经系统存在一个或以上的受损部位(大脑、脑干、小脑、视神经、脊髓)。在两个临床证据中,其中一个可以用病史来代替,此病史足以提示多发性硬化的一个典型病损部位并且无别的疾病可以解释(如Lhermitte氏征、手失去功能、视神经炎、一过性轻截瘫、典型的复视、肢体麻木)。
(2) 病变的亚临床证据:是指通过各种检查发现的中枢神经系统病变。这些检查包括脑干听觉诱发电位、视觉诱发电位、体感诱发电位、影像学检查及免疫学检查等。
(3) 多发性硬化的典型症状:为中枢神经系统白质受损的症状和体征,不累及灰质和周围神经(除非是髓内部分引起者)。头痛、惊厥、抑郁或意识障碍对多发性硬化的诊断无特殊意义。
(4)发作次数判定(时间): 2次发作间隔必需是1个月以上,每次发作历时必须超过24小时。
(5)病灶多发性判定(空间):症状和体征不能用单一的病灶解释。如同时发生双侧视神经炎或两眼在15天内先后受累,应视为单一病灶。只有中枢神经系统明确存在不同部位(大脑、脑干、小脑、视神经、脊髓)的损害,才能认为是两个以上的病灶。
多发性硬化症患者的自我保健 对于多发性硬化症病人来说,训练有较高的要求,尽管在发作期应停止实施,而且非发作期也不能训练强度过大,因为用力过度会招致损伤。肌肉收缩由神经冲动刺激产生,所以神经破损处的肌肉训练可能很困难,但是游泳、伸展和肌肉活动均在许多多发性硬化症病人的能力范围之内,甚至轮椅上的病人也可以作一定程度的训练。
有痉挛状态、步态僵直和有脚、趾等伴发症的病人作常规伸展运动非常有帮助,在温水中作常规伸展动作称水疗,也能帮助放松痉挛的肢体。
另外,常规的瑜伽功训练可增强肾上腺髓质的分泌功能,肾上腺髓质分泌物为神经——肌肉刺激物,他能帮助你减慢功能退化的速度。
多发性硬化的生育[编辑 | 编辑源代码]
因为多发性硬化多见于育龄期的轻中年女性,所以,患者不可避免的会遇到与生育相关的许多问题。比如多发性硬化会不会影响生育?是否会遗传给下一代?妊娠期间服用何种药物较安全?妊娠和分娩是否能使病情加重?产后是否适宜哺乳等等。
可以肯定地说,无证据表明多发性硬化影响生育,或增加自然流产和先天性畸形的发生率。相反有研究证明,与无病者相比,多发性硬化患者的妊娠、分娩和新生儿发病的危险性并无区别。换句话说,多发性硬化不影响妊娠,妊娠也不影响多发性硬化。
在上世纪50年代前,国外高发区医生通常不主张多发性硬化患者妊娠,一旦妊娠则建议患者流产,甚至绝育。夫妻如果有一方患病,多不愿再生孩子。所以那时,与健康人相比,多发性硬化患者的妊娠率较低。50年代后,大量回顾性调查发现,妊娠并不影响多发性硬化,在妊娠期间,多发性硬化特别是复发缓解型患者,复发和恶化的危险性没有增加。复发率不仅不增加,反而降低,大多数孕妇感觉到病情有所缓解,即妊娠对多发性硬化有保护作用。
妊娠期间的整体复发率约为10%,以色列学者的研究表明,随预产期临近复发率逐渐降低。但是在产后的头3月到6月,复发率增加,如在产褥期复发率为20%-40%。产后头6月的复发率约为分娩前9月的近3倍。
因为疾病的临床类型不同,很难发现或决定什么是复发的特异性危险因素。正常的体格变化如产后疲劳,可能是复发的主要原因之一,但是有时患者主诉病情恶化,经医生检查证实并非真正的疾病活动。多发性硬化复发的特征是先前已经缓解的症状出现恶化,或出现新的症状,持续时间超过24小时,与前次发作的间隔时间至少1月。
孕妇另一关注的问题是妊娠对多发性硬化的残疾有无影响,回答是无影响。因为回顾性调查发现,无论是妊娠一次,或多次,或从无妊娠,多发性硬化的残疾程度并无不同。
在妊娠期间,多发性硬化为什么会缓解?
回答是多发性硬化缓解与母体免疫系统被抑制有关。其机理是,妊娠时为了保护“寄生”的胎儿,母体内甲胎蛋白合成增加,皮质激素水平包括雌激素水平升高等,这些物质具有免疫抑制作用。动物实验发现,甲胎蛋白和雌激素均可以预防和治疗实验变态反应性脑脊髓炎,多发性硬化动物模型。因为母体的免疫系统功能处于亚正常状态,从而出现多发性硬化病情缓解。近年美国学者,已临床尝试用雌激素来预防和治疗多发性硬化复发。
在产后,随着甲胎蛋白和雌激素恢复正常水平,母体免疫功能也恢复正常,伴同照料婴儿带来的疲劳和应激,多发性硬化复发率增加。
因此,根据病情变化,恰当安排妊娠时期,适当延长产后的休息时间。确保产后足够的休息调养,能最大限度地降低多发性硬化的复发率。因为产后容易增加复发和恶化的危险性,建议非哺乳的多发性硬化产妇在分娩后,启动或恢复免疫抑制药物治疗。
多发性硬化患者怎样避孕
一般来说,慢性疾病要求患者应定期随诊医生,多发性硬化患者也不例外。育龄期的多发性硬化女性不仅要随诊神经科医生,还应该随诊妇科医生,咨询有关计划生育事项。在比较方便与否、易或不易感染等多因素后,采取适合自己的避孕措施。
年龄超过35周岁的患者,特别是患高血压、抽烟女性,不宜口服避孕药物。如果患者需同时服用几种药物时,应在医生指导下用药,例如服用抗生素、苯妥英钠和卡吗西平等药的患者,不适宜服药避孕,因为这些药物会降低避孕疗效。避孕环有效避孕的时间可长达10年,但是有的抗生素和免疫抑制剂可能会削弱它的功能。皮下包埋缓释避孕药物禁忌同时使用抗癫药物
多发性硬化的视力障碍和处理[编辑 | 编辑源代码]
视神经一端连着眼,另一端连接脑。健康情况下,视神经把视网膜接受到的外部光电信息传送到脑,由脑产生视觉图像。
据统计,约有55%的多发性硬化患者发生过视力障碍,并且通常是该病的首发症状。大多数常见的症状是由于球后视神经炎而引起的。其主要病理变化是炎性细胞侵入视神经,分泌细胞因子,导致视神经的髓鞘脱失。
视神经发生炎性改变时,可产生不同的视力障碍。病灶斑块的大小和部位决定视觉症状的表现类型和程度。轻者仅有视物模糊,视力下降或畏光,重者出现视野缺损或视力完全丧失。有的患者可出现色彩洗脱变淡,夜视困难等。这些症状很少是持久性的,有的甚至短至数分钟或数秒中。反复发作的视神经炎也可导致视神经的不可逆破坏,患者变成永久性失明。
多发性硬化患者的视力障碍常常只影响单侧眼睛。有的患者会有视野中心某点看不到的经历,即是医学上所称的中心盲点。有少数患者发生同向偏盲,即双眼的右侧或左侧视力丧失。在视神经炎的急性期,部分患者转动眼球如上视,或侧视时,病变眼睛疼痛。还有的患者因为眼球运动力弱表现为复视,或双眼协调功能丧失,出现眼震。眼震时,患者的眼球运动较快或出现跳动性运动。但这种现象不如复视(重影)常见。复视也是双眼运动不协调所引起的,提示病灶在脑干。
视力障碍的治疗
一旦发生视力问题,患者应该及时看眼科专家。轻度的视力障碍无需特殊治疗,最好的治疗方式是等待炎症的自然消失和视力症状自然恢复。当然,大多数情况下,静脉使用皮质类固醇激素减轻炎症,以加速病情恢复。
根据我们自己的临床观察,大剂量甲基强的松龙冲击治疗3次,即可见到明显的治疗效果。如果症状改善不明显,还可加用2次。球后注射激素的治疗方法,现在已基本淘汰。口服大剂量强的松2-3周,也可迅速减轻炎症,改善临床症状。不幸的是,长期使用激素可以促发白内障,由此而引起的视物模糊通常需要外科手术矫正患者的视力。长期使用激素还可引起骨质疏松,消化道溃疡,皮下脂肪分布改变等。
使用眼罩遮住一只眼睛可以纠正复视。多数情况下,建议患者只在必要时,如阅读、精细操作、驾车等才使用眼罩。因为随着时间的推移,大脑会很快自行调整复视,实现正确接受外界图像。如果使用眼罩,便会延迟大脑的自身调节功能,使复视存在的时间更长。
单侧眼使用眼罩也可纠正眼震,氯硝安定或其他相似药物也有助于恢复眼震。眼科医生有时也使用其他方式纠正视力障碍,如应用黄色镜片,减少对光的敏感(畏光)。患者也会在生活中自行调节视力问题,通过转头调节复视和同向偏盲。患者特别是急性期患者必须认识到,偏盲有时会带来不幸甚至灾难。因为双眼的单侧视力丧失,患者不能及时发现并应对来自偏盲侧的紧急信号,如对面来车,躲避行进中的障碍物等等,容易发生危险。
视力障碍给患者带来生活工作的不便不适,这些症状大多数可能是暂时的,有的不治疗也会自然缓解,但反复发作也可能导致永久性损害。应激、抑郁、疲劳、感染和一些药物,如三环类抗抑郁药和体温增加均会加重视力障碍的病情,应该避免。
多发性硬化可以生育吗[编辑 | 编辑源代码]
临床研究证明:多发性硬化患者能怀孕,但对患者而言,危险性很大,怀孕会使患者的病情加重,所以患者要按实际情况,考虑要不要孩子。
多发性硬化能不能根治[编辑 | 编辑源代码]
现在多数认为,多发性硬化症是一种自身免疫性疾病。遗憾的是,大多数患者甚至相当高级医院的专科大夫对本病缺乏全面认识,防治不当。如遇病情复发,只是简单地重复使用皮质类固醇激素,最终不仅不能控制复发,而且还会引起许多并发症,给患者带来更大的痛苦。
目前,国内外对多发性硬化症已有了成熟的诊断标准,主要有3种检查手段可以帮助医生作出正确诊断。第一,脑和脊髓的核磁共振检测;第二,脑积液检查,这主要是检查免疫指标;第三,对视觉、听觉等进行诱发电位检查。
虽然到目前为止根治多发性硬化症的药物尚未被发现,但是对于控制病情及疾病所带来的后遗症仍有许多的治疗方法。对于疾病所带来的症状如僵硬、痉挛、疼痛、大小便机能失常等,合并药物及复健的治疗都可使症状改善。皮质类固醇可用来治疗急性的发作;近来则有贝它干扰素对于减少复发的次数及复发时严重程度的报告。许多医师也发现,国内的中医中药对于治疗多发性硬化,改善症状,减少复发有确切的疗效。