原发型肺结核
来自医学百科
原发型肺结核是肺结核的一个类型。其包括原发综合征及胸内淋巴结结核。多见于少年儿童,成人偶有发生。
病理[编辑 | 编辑源代码]
原发性肺结核是当结核杆菌侵入肺部,在实质内产生的急性渗出性炎症改变。一般多发生在右侧中肺叶,明显不同于浸润性肺结核的分布,是因为右侧主支气管较左侧粗大而且较陡直,细菌随空气多进入右侧肺,并且右侧中肺通气好,血液丰富,细菌容易停留。
临床表现[编辑 | 编辑源代码]
无症状或症状轻微,可表现为发热、咳嗽、气急、盗汗、消瘦、乏力,容易与一般感染混淆。通常临床表现和体征均缺乏特征性,有些病例可无症状,因体检或外伤偶然发现。多有结核病家庭接触史
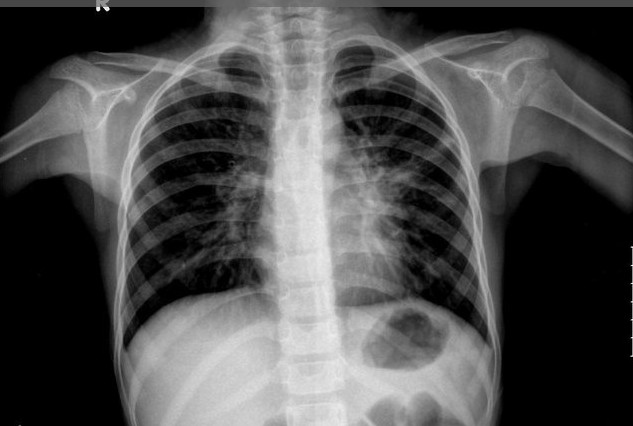
辅助检查[编辑 | 编辑源代码]
结核菌素试验多为强阳性,X线胸片表现为哑铃型阴影,及原发病灶、引流淋巴管炎和肿大的肺门淋巴结,形成典型的原发综合征。若X线胸片只发现肺门淋巴结肿大,则诊断为胸内淋巴结结核。肺门淋巴结结核可呈团块状、边缘清晰和密度高的肿瘤型或边缘不清、伴有炎性浸润的炎症型。
治疗及预后[编辑 | 编辑源代码]
原发病灶一般吸收较快,可不留任何痕迹。尤其是小儿原发性肺结核90%以上可以自然愈合,以钙化告终。但为了促使病灶早期痊愈,防止或减少内源性复燃,积极治疗还是十分必要的。治疗可以参考常规抗结核治疗,但是要注意药物的毒性。
参看[编辑 | 编辑源代码]
参考文献[编辑 | 编辑源代码]
- 《内科学》人民卫生出版社第七版医学教材.陆再英、钟南山主编
- 《实用内科学》第13版.陈灏珠主编
- 刘丽华等.小儿原发型肺结核的治疗原则.临床军医杂志2005年10月第33卷第5期
