单纯性肺嗜酸粒细胞浸润症

来自医学百科
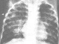
Bkluu.jpg

吕弗琉于1932年首先描述本病,故又名吕弗琉综合征(L?ffler's syndrome)。其特点为游走性肺部浸润伴外周血嗜酸粒细胞计数增高,肺部症状轻微,多数仅有轻咳,病程呈自限性,常于3~4周内自行痊愈。  

产生缘由[编辑 | 编辑源代码]

本症很可能为肺泡的一过性变态反应常见病因为寄生虫感染和药物反应。约有1/3患者未能查出病因。本病在某些地区呈季节性流行,故推测环境抗原因素在某些地区亦为可能的病因。

蛔虫感染是最常见的病因,蛔虫体多种物质有很强的抗原性。实验证明,进食蛔虫卵后,幼虫移行至肺可发生本症典型的肺部表现与嗜酸粒细胞升高。引起本病的其他寄生虫钩虫、丝虫、绦虫、姜片虫、旋毛虫阿米巴原虫等。药物有对氨水杨酸阿司匹林青霉素、硝基呋喃妥因、保泰松氯磺丙脲肼苯达嗪美加明磺胺药氨甲蝶呤等。尚有吸入花粉真菌孢子等产生本病的报道。  

病理改变[编辑 | 编辑源代码]

病理变化主要位于肺间质、肺泡壁及终末细支气管壁,有不规则的嗜酸粒细胞浸润灶,有时肺泡内可见成堆的嗜酸粒细胞,极少累及血管。  

临床表现[编辑 | 编辑源代码]

单纯性肺嗜酸粒细胞浸润症轻症只有微热、疲倦及轻微干咳等,重者可发高热阵发性咳嗽哮喘等急性症状严重时,偶可发生呼吸衰竭胸部有湿性或干性罗音,有时叩诊可得浊音。脾脏可稍肿大。嗜酸细胞增多,有时高达60%~70%,较正常嗜酸细胞大,并含有大型颗粒。伴发全身血管炎之重症患儿可呈多系统损害。

X线胸片可见云絮状斑片影,大小、形状及位置都不恒定,呈游走样,于短期内消失及另一部位再发。偶见双肺弥漫颗粒状阴影需与粟粒性肺结核鉴别。

临床上常见两种肺部浸润伴嗜酸细胞增多综合征,即单纯性肺嗜酸细胞增多症及热带性肺嗜酸细胞增多症,与寄生虫蚴虫移行有关,又可与药物或化学物质有关,症状较轻,哮喘或有或无,X线表现特点是肺浸润性病变呈暂时性和游走性,血清IgE正常,病程较短,多为数周左右。热带性嗜酸细胞增多症主要与丝虫、犬及猫蛔虫、钩虫感染有关,咳嗽伴哮喘,血清IgE增高,病程长短不定,有时可长达数周,慢性型可长达1年以上。

国外学者将嗜酸细胞性肺炎分为五型。除上述两型外又有:①持续性肺嗜酸细胞增多症,可能与寄生虫、真菌细菌或药物有关;多不伴哮喘,血清IgE正常,病程迁延数月,有人认为Luffler氏综合征病程超过1月者即属本型;②肺嗜酸细胞增多症伴哮喘,多为肺曲霉菌感染如过敏性支气管肺曲霉菌病,其他致敏原可能为粉尘、药物、寄生虫或不明。哮喘著明,血清IgE增高,病程长短不定,一般短于1个月,但有时可复发或转变为慢性;③血管炎病(如结节性多动脉炎)伴肺嗜酸细胞增多症,乃多种胶原性疾患之一种表现,伴或不伴哮喘,多有心内膜、心肌心包损害,血清IgE正常,病程多较长,病情较重,呈多器官损害时称播散性嗜酸细胞性胶原病(disseminatid eosinophilic collagen diseaseDECD)预后差。北京儿童医院曾见二例均死亡。

近年来有一种"嗜酸细胞增多性哮喘病"或"暴发性哮喘性嗜酸细胞增多综合征",在国内若干地区暴发流行,可见于婴幼儿、年长儿至成人。患儿不发热或有低热,突出表现为哮喘与干咳,有时出现瘙痒皮疹。病情严重时,偶可因支气管、毛细支气管梗阻及心力衰竭而危及生命。X线胸片上多数有肺纹理增加及肺气肿,少数有片状或网点状阴影。血内嗜酸细胞增多可高达20%以上。病因未明,有些作者认为是蛔蚴在体内移行的表现,有人推测一部分流行可能与病毒感染或真菌孢子大量吸入有关。

此外,重庆第三军医大学病理教研组(1978年)所见40例急性恶性嗜酸性细胞浸润症中,31例为2~12岁的小儿,均与葡萄球菌感染有关。除嗜酸细胞性肺炎外,病变极广泛,涉及小肠、肝、脾、肠系膜扁桃体、脑和骨髓等。患者大多突然发病,出现高热、昏迷头痛腹泻、咳嗽、抽搐出血性皮疹,起病后多在1~2天内死亡。尸检时除上述病变外,还在一些病例中找到皮肤、肺、肝、脾及颈淋巴结等局部嗜酸性葡萄球菌脓肿。少数病例在生前或死后血液培养获得凝固酶阳性的金黄色葡萄球菌。所有病例均未发现任何组织有寄生虫或虫卵。报告者认为31小儿病例占该教研组同时期同年龄阶段小儿尸检病例的6.7%,这类恶性病例提示嗜酸细胞反应与特殊感染之间存在着复杂联系,尚待进一步研究。  

病症诊断[编辑 | 编辑源代码]

本症的诊断主要根据外周血嗜酸粒细胞增高伴游走性肺部浸润灶,且临床症状轻微,能自愈等特点。怀疑由蛔虫感染引起者,可在症状出现2月后,即尾蚴在体内发育成虫后,作粪便集卵检查。  

治疗措施[编辑 | 编辑源代码]

一般不需治疗。疑为药物引起者应立即停药。寄生虫所致者可予驱虫治疗。如症状显著或反复发作,可使用肾上腺皮质激素

粒细胞明显增高,可达10%~20%,或1000~2500/mm3。痰液中亦可见到较多嗜酸粒细胞。