医学影像学/CT诊断的临床应用

来自医学百科

CT诊断由于它的特殊诊断价值,已广泛应用于临床。但CT设备比较昂贵,检查费用偏高,某些部位的检查,诊断价值,尤其是定性诊断,还有一定限度,所以不宜将CT检查视为常规诊断手段,应在了解其优势的基础上,合理的选择应用。

CT诊断应用于各系统疾病有以下特点及优势,参考图1-2-6。

CT检查对中枢神经系统疾病的诊断价值较高,应用普遍。对颅内肿瘤、脓肿肉芽肿寄生虫病外伤血肿与脑损伤、脑梗塞脑出血以及椎管内肿瘤与椎间盘脱出等病诊断效果好,诊断较为可靠。因此,脑的X线造影除脑血管造影仍用以诊断颅内动脉瘤血管发育异常和脑血管闭塞以及了解脑瘤的供血动脉以外,其他如气脑、脑室造影等均已少用。螺旋CT扫描,可以获得比较精细和清晰的血管重建图像,即CTA,而且可以做到三维实时显示,有希望取代常规的脑血管造影。

CT对头颈部疾病的诊断也很有价值。例如,对眶内占位病变、鼻窦早期癌、中耳小胆指瘤、听骨破坏与脱位内耳骨迷路的轻微破坏、耳先天发育异常以及鼻咽癌的早期发现等。但明显病变,X线平片已可确诊者则无需CT检查。

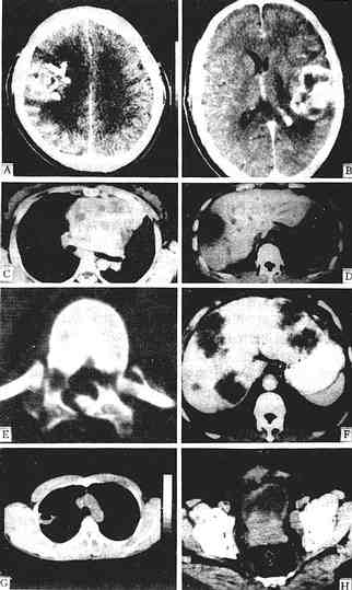
CT图像


图1-2-6 CT图像

少支胶质细胞瘤增强,右额、顶叶有一较大不规则肿块,强化不均,周围有低密度水肿

星形细胞瘤 增强,左额顶叶有一不均匀强化肿块,不规则,内有未有强化的低密度区,周围有低密度水肿区,中线结构右移

胸腺增生 平扫胸腺区有一分叶状密度均一病灶,仍呈胸腺状,主动脉受压右移

肝脓肿 平扫,肝右叶有一低密度灶类圆形,中心部密度更低为脓腔,周边为脓肿壁呈“双边征

腰椎骨折 平扫,椎弓多处中断,椎管变形,其内可见碎骨片

肝转移癌 增强,肝左、右叶多个大小不一、不规则低密度灶,周边有细的强化环围绕

肺脓肿 平扫,右上叶有一空洞性病灶,内壁光滑,并见气液平面,胸部X线片曾疑肺癌

前裂腺癌 平扫,前列腺分叶状增大,并向膀胱内突入

对胸部疾病的诊断,CT检查随着高分辨力CT的应用,日益显示出它的优越性。通常采用造影增强扫描以明确纵隔肺门有无肿块或淋巴结增大、支气管有无狭窄或阻塞,对原发和转移性纵隔肿瘤、淋巴结结核、中心型肺癌等的诊断,均很在帮助。肺内间质、实质性病变也可以得到较好的显示。CT对平片检查较难显示的部分,例如同心、大血管重迭病变的显圾,更具有优越性。对胸膜、膈、胸壁病变,也可清楚显示。

心及大血管的CT检查,尤其是后者,具有重要意义。心脏方面主要是心包病变的诊断。心腔及心壁的显示。由于扫描时间一般长于心动周期,影响图像的清晰度,诊断价值有限。但冠状动脉心瓣膜的钙化、大血管壁的钙化及动脉瘤改变等,CT检查可以很好显示。

腹部盆部疾病的CT检查,应用日益广泛,主要用于肝、胆、胰、脾,腹膜腔腹膜后间隙以及泌尿和生殖系统疾病诊断。尤其是占位性病变、炎症性和外伤性病变等。胃肠病变向腔外侵犯以及邻近和远处转移等,CT检查也有很大价值。当然,胃肠管腔内病变情况主要仍依赖于钡剂造影和内镜检查及病理活检。

骨关节疾病,多数情况可通过简便、经济的常规X线检查确诊,因此使用CT检查相对较少。