篮细胞

来自医学百科

篮细胞(basketcell),学名肌上皮细胞(myoepithlial cells)

Bkiv0.jpg

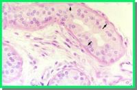
肌上皮细胞位于腺泡和小导管的腺上皮基膜之间。通常每个腺泡有一个肌上皮细胞。也可以有二三个。常规切片中,此细胞难以辨认。若新鲜腺组织经过锇酸处理,则肌上皮细胞清晰可见。因其胞浆内含有活性很强的ATP酶和碱性磷酸酶。故针对此酶的组织化学染色可见肌上皮细胞的典型形态医`学教育网搜集整理。光镜下,细胞体小,形态扁平,发出4~8支分支状突起,该突起呈放射状包绕着腺泡表面,形似篮子,故又称篮细胞(basketcell)。其胞核较大呈扁圆形,几乎占据整个细胞。电镜下,仅见散在分布的线粒体粗面内质网高尔基复合体通常位于核周部分,微吞噬小泡位于胞浆膜内侧,有时可见脂滴。在细胞突起内充满着纵形排列的细丝,直径约6~10nm,常聚合成致密小体,此结构与平滑肌细胞相类似称肌微丝

免疫荧光免疫组织化学研究证实肌上皮细胞内含肌动蛋白肌球蛋白,刺激肌上皮细胞胞可使导管内压力发生变化等,均提示肌上皮细胞有收缩功能,协助腺泡或导管排出分泌物医`学教育网搜集整理。又因该细胞位于腺上皮细胞与基膜之间,借桥粒与腺上皮细胞相连接,细胞内含角蛋白等上皮细胞的特征性结构与免疫组织化学反应,提示其可能为上皮性来源。有学者认为涎腺肌上皮细胞来自于原始多潜能涎腺导管细胞

腺泡及闰管的外表面,公认有肌上皮细胞存在。纹管外周是否有肌上皮细胞,则意见不一。Dardick等研究表明,纹管特别是其小叶内部分,可见其周围有肌上皮细胞围绕。Chaudhry指出,纹管的肌上皮细胞与腺泡闰管系统相比,数量少,体积小,形态有所不同,但其与腺上皮之间的关系密切,超微结构形态相似。国内多数学者认为,特别是接近闰管的一段纹管,确有肌上皮细胞存在。